Translate - traductor



Periódico desde el Conurbano

Periódico desde el Conurbano
Esteban Prego

Dr. Helou

Dr. Helou

COTIZACION DOLAR EURO

Nos visitaron

Han estado

Flag Counter

jueves, 26 de junio de 2014

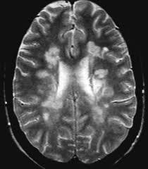
Los avances en la esclerosis múltiple

En los últimos años se han producido grandes avances en la enfermedad de la esclerosis múltiple, tanto en el conocimiento de la enfermedad, como en los diagnósticos y las terapias que se pueden aplicar.

Ester Moral, coordinadora del Grupo de Estudio de Enfermedades Desmielinizantes de la Sociedad Española de Neurología (SEN) y jefa del servicio de Neurología del Hospital de Sant Joan Despí Moisès Broggi (Barcelona) afirma que esta grave enfermedad está siendo muy relevante entre la población joven, aunque los avances rápidos y constantes que se están produciendo hacen que su vida cotidiana haya mejorado considerablemente.

El avance más importante fue el descubrimiento de la utilidad que presentaba el interferón beta para el control de esta enfermedad. Este descubrimiento propulso el conocimiento en varias áreas, tales como: genética, inmunología, anatomía patológica, así como el diagnóstico precoz.

A pesar de estos avances, aún quedan muchas lagunas y campos de mejora. Uno de los desafíos es conseguir terapias personalizadas para cada uno de los pacientes que sufren esta enfermedad. Se habla de desafío debido a que la esclerosis múltiple destruye la sustancia que recubre los nervios, llamada mielina, y por lo tanto puede afectar a diferentes partes del cuerpo y tiene un cuadro clínico muy amplio. Esto se complica si tenemos en cuenta que la esclerosis reporta un fenómeno inflamatorio y otro degenerativo.

Rafael Arroyo, coordinador de la Unidad de Esclerosis Múltiple del Hospital Universitario Clínico San Carlos de Madrid, afirma que uno de los principales retos que tienen los investigadores es encontrar biomarcadores específicos que puedan emplear en las terapias de manera individualizada en los pacientes. El gran problema con el que se encuentran los investigadores son los recursos. Estos se presentan en forma de trabas administrativas y recortes financieros.

A pesar de estos inconvenientes, próximamente se van a presentar al mercado dos nuevos fármacos orales y un anticuerpo monoclonal. Estas dos soluciones se muestran como una proyección muy positiva a la hora de abordar esta enfermedad. La Dra Arroyo apoya la idea “invertir cada vez mejor los recursos disponibles” para que ningún paciente se quede sin su terapia personificada. Fuente: Meedicina.com

No hay comentarios:

De esto se trata el presente, de redescubrir en forma lo que nos pasa. No somos una caja fuerte sino una caja de cartón, su contenido es valido mientras sea duradero el envase.

Buscar noticias en este blog

Formulario de contacto

Nombre

Correo electrónico *

Mensaje *

Archivo del blog

Wikio

Wikio – Top Blogs

Wikio

Ebuzzing – Top Blogs – Otras categorías

Buscar por etiquetas

Cáncer Cerebro Salud Corazón Niños Obesidad Diabetes depresión memoria sueño ACV Células Madre Estrés OMS VIH España embarazo mujeres Argentina hipertensión China EEUU Fumar adicción bebés prevención riesgo vacuna 3D Cocaína Creatividad Fukushima Tabaquismo bacterias dormir genes hombres reducción Actitud Creativa Antibióticos Gen tabaco ADN Alimentos Alzheimer Cáncer de mama Células Dieta ayuda Cambio climático Fármacos OPS Vida ansiedad aumento detección diagnóstico medicamentos proteína relación robot terapia génica Asma Autismo Cambios Comida Dispositivo Enfermedades Europa Japón Libro Nanotecnología Próstata Sida Tecnología Vitamina D alcohol crecimiento daño daños envejecimiento internet leucemia muerte nanopartículas piel pulmón quimioterapia Abuso América Latina Aprendizaje Azúcar CHILE Colesterol Contaminación Cáncer de piel Cáncer de pulmón Ejercicio Heroína Infartos Innovación Jóvenes Marihuana Migraña Muerte súbita Robots USA avance drogas glaucoma mortalidad pérdida riesgos salud mental terapia tratamientos Adicciones Adolescentes Agua App Argentinos Bacteria Brócoli Ciencia Descubren Edad Genoma Genética Infarto Invisibilidad Luz Meditación Nueva técnica ONU Obesidad infantil Parkinson Parpadeo Peso Plantas Radioterapia Sexo Sistema inmunológico Transplante amenaza artritis reumatoidea avances conciencia control demencia diabetes tipo 2 discapacitados emociones estrategia frutas futuro gripe humano infección longevidad medición mundo nuevo nuevo tratamiento psoriasis redes sociales sistema inmune trabajo vacunas visión ánimo 2013 ALERTA ALIENTO ASPARTAMO Adolescencia Alcoholismo Alzhéimer Analgésicos Anestesia Atlas Bloqueo Cafeína Calcio Calvicie Caminar Carne de caballo Cirugía Clave Cognición Colombia Comer Comida chatarra Cura Discapacidad Down EPOC Einstein Ejercicio físico Equizofrenia FDA Felicidad Fibra Francia Fruta Frío Gran Bretaña Gripe Aviar Ictus In vitro Lenguaje Menopausia Miedo Molécula Monos México Nanotubos Obama Origen Palabras Piel artificial Política Recuerdos Reino Unido Rusia Salud Pública Secuenciación Sepsis Silicon Valley Sordera Tierra Trastornos mentales Trauma Tumor cerebral UE Violencia de género afecta animales aumenta calorías cannabis cerebro humano cerebros comportamiento curación cáncer de páncreas células tumorales datos decisiones descubrimiento dolor día efectos eliminación energía energía Solar esperanza esquizofrenia facebook fármaco grasa guiño de ojo hepatitis C impacto implantes leche materna leer leptina medicamento medicina mejora menos movimiento neurologia no pacientes parto parálisis peligro pobreza problemas producción propagación proteínas páncreas ratones regula récord sangre smartphones software síntomas test tic tics trastorno neurológico trata tuberculosis técnica uso verduras vino tinto virus 1 de cada 4 Bonaerenses se automedican 10 años 5 años AFIP APNEA DEL SUEÑO Actitud Creativa saludos Adultos jóvenes Africa Alemania Angiogénesis Anorexia Antidepresivo Apio Apnea Apoptosis Artrosis Australia Auto Automedicación Autos Azheimer BRASIL Bebidas Energizantes Beneficio Big data Biodiversidad Buenos Aires CANCERÍGENO CEPILLO DIENTES CIRA Calendario Maya Campaña de Salud Visual Campaña de Salud Visual No juegues con tus ojos Campaña de Salud Visual «No juegues con tus ojos" Cantar Caries Chocolate Cigarrillos Clarín Coagulación Comida chatarra Depresión Crianza con apego Cámara Islámica de Comercio Células Madres DDT Dengue Deshidratación Diabéticos Dientes Dislexia Droga Día Mundial Encías Enfermedad cardiovascular Epilepsia Esclerosis múltiple Eurozona Ficción Gel Google Glass Grafeno H7N9 Hipoglucemia Hormona IBM INFECCIONES INTI Impresión Inmunoterapia Insectos Internacional Intramed Israel Ituzaingó Juan Prego Light Malaria Matemáticas Mayores Mercurio Migrañas Mujer Murió Móvil NASA NSA Neurociencia Neutrinos Niño No fumar No juegues con tus ojos Noam Chomsky Oro PARCHE Pescado Piensa como un Genio Placebo Poema Radiografías Rajoy Reclamos Regeneración Resiliencia Resonancia magnética Riñón Sabbatella Sal Sensores Siria Staphylococcus aureus TIEMPO Tiroides Trata de personas Tratamiento Urticaria crónica Vejez Viagra Vino acupuntura adelgazar alteran angustia anticonceptivos anticuerpos monoclonales apetito apoplejía aportes arándanos asociados ataques años beber bebé bebés prematuros bueno cabello calentamiento global cambio canal carbón cardiopatías cardiopatías congénitas cura ceguera chimpancés científico combate comprensión consumo control remoto conversión cordón umbilical coronarias correr creación crean crece cromosomas cáncer colorrectal cáncer de próstata daña daño cerebral defensa dependencia depresión posparto desarrollo descanso desierto detecta diet diferencia dificultad difícil discriminación diseño disfunción eréctil drones efecto efecto invernadero efectos secundarios eficacia eficaz eléctrico embrión enfermedad enfermedad de Crohn enfermedad mental enfermedades autoinmunes enfermos envejecimiento celular espió estreno estudio evita featured feto fiestas formación fraude genoma muerte súbita corazón gen genético glucosa heridas hijo hombre hueso hígado infancia infantil infertilidad informe inyección juego laboratorio lectura lesiones libro Piensa como un genio maltrato marcador marcapasos masculina mayor mecanismo medir mejor melanoma melatonina menor riesgo menos cigarrillos menos grasas menos sal mit mitos moléculas muerte prematura muertes mutación genética máquina móviles neurodegeneración anticuerpo nueva nuevo dispositivo nuevo método nuevos genes ojos operación osteoporosis ovario paz países en desarrollo percepción pesticidas preservativo principio problema protección protegen protesta pymes internet soluciones publicidad web diseño empresas servicio medios interactivos radiación recién nacidos reconstrucción reemplazo reprogramación reprogramación celular resistencia restaurar riesgo cardíaco ropa secretos sin tecnología sistema nervioso sobrepeso suicidios supervivencia testosterona todos tolerancia top ten torturas tumores uvas rojas vacunación vasculitis vasos sanguíneos vejaciones veneno "BlackBerry" "Sangre artificial" "braintraining" "bullying" hermanos cicatrices "curry" células cancerosas muerte curcuma "encuentra venas" "fabricación" "puentear" vías neurales inactivas cerebro órdenes musculares "rayos x" 'Hackear' 'Nanoantibióticos' bacterias innovación 'Streptococcus pneumoniae' menores 80% portadores 'crowdsourcing' frontera smartphone Twitch 'start-up' (HF) (Tendones) 1 a 5 años 1 de cada 3 1 hora más 1 millón 1 millón años 1 millón más 1.200 personas 1/3 yanquis 10 años menos 10 principales 10% menos 100 veces más rápido 100% efectiva 13 13% población tiene problemas alcohol 14 millones hectáreas desaparecen por año 143 kms hora 150 años 16 mese adquirimos habilidad aplicar aprendido 17 nuevos anticuerpos contra el VIH 18 180mil muertes 1er año 1er caso documentado de experiencia extracorporal 1ª Plataforma CrowdLearning 1ª. Jornada; Todos somos resonsables 1° Congreso Argentina Valley 1º embarazo precoz 2 idiomas coexisten normalmente 2 litros día 2 por ciento 20 de Noviembre Día Universal del Niño 20 mil millones 20 millones 20 millones desempleados 2009 2013 calentamiento global Fenómenos extremos 20N 2350 empresas libres de humo 24 variaciones genéticas 24% hombres 25 años 254% 2da causa 2º Ecuentro de Escritores Latinoamericanos y del Caribe 3 años 3 cepas 3 dimesiones 3 meses anticipación PRONOSTICA Temperatura Precipitaciones 3 padres genéticos 3 ruedas 30 mil muertes 30 por ciento 35 países 35% 36 kms litro 38 millones 39% 3D mandíbula reconstrucción cirugía poco invasiva 3a edad cuidadores carencia 3d impresora 3ª edad materia blanca actividad física 4 4 del 02 4 horas 4 segundos 4 ton. 4% 40 40 años 408 millones años 45% 450 años 47 % 5 cuestiones 5 especies animales amenazada 5 veces más 5% población mundial tiroides alterada 50% 50% saben 500 microbios flora intestinal descubiertos 570 gramos 60 años 60% 65 millones muertes 66% 7 mil millones 70% menos 700 mil 700 veces más rápido 71 por ciento 74 errores genéticos 7d 8 kgrs operación 8% gasto mundial 90% población mundial pensar no sabe 900.00M euros de pérdida <brasil AAPM. medicamentos. venta libre ACA concurso Objetos Sueltos y la conducción ACV Estrés hostilidad depresión emociones negativas ACV envejecimiento cerebral 8 años ACV inteligencia artificial terapia ACV pandemia mortal Angiogénesis Vasculitis adrenalina vasa vasorum ACV secuelas peor mujeres ADENOSINA ADIPOGÉNESIS HOMEOSTASIS ADN EDICIÓN CRISPR ADN Fumar adicción historia ADN HUMANOGENETICO ADN artificial ADN artificial organismo vivo creado ADN detector de mentiras ADN el detector de mentiras ADN embriones humanos modificación China ADN humano ADN mitovcondrial pacientes psiquiátricos ADN modificar etíco-científico dilema ADN parásito cáncer ADN prenatal debate médicos ADN tecnología cambio inminencia ADN velcro órganos fabricar AEMA contaminación Alemania Bélgica Francia AFIP Echegaray Viajes exterior AFIP SECUESTRA COCAÍNA AFIP trabajo esclavo ALZHEIMER CANCER EPILEPSIA N-MIRISTOIL TRANSFERASA ANSA ESPAÑA SITUACIÓN ANSES PROTEGE JUBILADOS ARBA ARBA evasion campo AREA CEREBRAL tareas simultáneas Abdomen plano Abejas melíferas Abejas sienten pesimismo Abordaje Aburrimiento Accenture Accesibilidad Acceso Acceso abierto Accidente cerebrovascular ansiedad estrés fibrinógeno ictus interleuquina 6 Accidentes de tránsito peste siglo XXI Aceite Oliva protege infecciones bacterianas Aceite oliva Aceite pesado Aceituna Aceituna piel ácido oleanólico ácido maslínico quimiopreventivos Aceitunas propiedades medicinales Aceleradores de partículas Cáncer Acenture Acetil Fentanilo HEROÍNA Naloxona Acido láctico envejecimiento cerebral nivel Acné antibióticos uso Acoso escolar fracaso abandono secundario Actitud Creativa Google Actitud Creativa Juan Prego Actitud Creativa Juan Prego entrevista Actitud Creativa Silicon Valley Actitud Creativa Taller de Creatividad Barcelona Actividad estomacal nocturna Actividad física Actividad física sedentarismo muerte Acupuntura Mejor EPOC Acúfenos oir sonidos inexistentes Adcciones Adelgace Adelgazar suplementos Adherencia Terapéuticas Hospitalizaciones evitables Adhesivo Adhesivos Adicciones Facebook y Twiter Adicciones VIII Congreso Córdoba Internacional Adicciones actividades investigaciones Adicción alcohol Adicción internet Aditivo Adrenalina Stress Corazón Aduana Multa barcos extranjeros Adultas mayores Aerolíneas Argentinas Aerosol Nasal Heroína Affectiva Afganistán Agenda pos Agrasys Agua Niños Sobrepeso Agua embotellada Agua en la luna Agua manto terrestre mares mundo Agua polonio radiactivo Aguacate moléculas prevención trombosis Aguates Colesterol disminución Agujero negro devora estrella Aislamiento social Alagas Carbono Atmosfera Alan Turing embriología polidactilia vías metabólicas Alcholismo relajante muscular Alcohol Ciencia Medicina Reino Unido Salud Alcohol afección mayores conducción Alcohol corazón protección Alcohol embarazo parto prematuro Alcohólicos Alergia Alergia cáncer neurologia tumores cerebrales Alergias diagnóstico oportuno Alergías Algas Biocombustible Alglucosidasa alfa enfermedad de pompe lumizyme Almacenamiento químico calor Almidón Vendajes absorbibles Almohadas Alopecia Alteraciones genómicas Altruismo Cerebro Alzheimer Determir enfermedad de Alzheimer insulina Alzheimer Ejercicio Alzheimer emociones Alzheimer enfermos sin recuerdo con emociones Alzheimer frenar antideprtesivo Alzheimer la más temida Alzheimer marcadores Alzheimer medicamento china prueba Alzheimer nano sonda resonancia magnética Alzheimer proteínas antidepresivo Alzheimer proteínas propagación Alzheimer pruebas olfativas detección Alzheimer resveratrol antioxidante vino chocolate retraso avance Alzheimer terapia génica resultados Alzheimer transmisible? Alzheimer transplante células cerebrales memoria Alzheimer tratamiento anterior sintomatología Alzheimer vitamina D Alzhemer antiinflamatorio salsato trtamiento Alérgenos revisar perfumes Bruselas Amamantar Menor Obesidad Amamantar recién nacidos vida Amaranto propiedades Ambulancia Amianto infarto ictus Amigos Redes sociales Salud mejor Amistad fidelidad importante Amor Amoxicilina Amoxicina Ampliador América esqueleto humano genéticamente intacto Ana María Bovo Cuentos de humor y de amor Analgèsicos Analgésico. veneno Ancianos diabetes Anestésico de algas Angustia mujeres embarazadas cambios genéticos hijos Anne Krueger Anorexia electrodos anorexia Ansiedad Antipsicóticos Dopamina Serotonina Ansiedad crónica funcionamiento miedo preocupación Antibiótico natural Antibiótico nuevo Antibióticos partículas plaquetas disfraz efectividad Antibióticos alternativa Antibióticos bebes obesos Antibióticos resistencia peligro extremo Anticonceptivos Tabaco peligroso Anticopcentivo masculino Anticuerpos Antidepresivos Antihistamínicos Antiinflamatorios no esteroides Antioxidantes Antártico Antártida Análisis facial Análisis tuberculosis vergonzosos Aplicación Apnea del sueño Mujeres Apophis Apoyo EEUU App gratuita App recetas futbolistas hábitos alimenticios salud niños App salud ranking smartphones Apple Samsung Google Apple patenta batería hidrógeno Apple y Samsung juicio millonario Aprender matemática mejora el funcionamiento cerebral Aprender mayores posible Apèndicitis sin cirugía niños Aquelarre Aquí estamos Arabidopsis Aragón estudio UZ conducta propagación epidemias Arañas fobias percepción errores Archaeopteryx Argentina Nudos Gordianos Argentina Xenofobia Argentina gordos número mayor Argentina hoy Argibay Armenia Arquitectura molecular Arritmia ventricular frío Arrtimias Artemio López Arteriopatías extremidades inferiores Artritis Artritis Reumatoide Artrocopia Artrosis ejercicio prevenir frenar Arándamos Asamblea ambiental de Colón Asesinato albañil policía Misiones Asia Asma ejercicio físico bueno Asma investigación nueva vía Asma termoplastia bronquial Asociacion obesidad mortalidad Aspartamo ‘veneno’ permitido Aspirina Astronomía Ciencia Descubrimientos Entretenimiento España Expertos Física internacional Atmosfera superior Audición Aumentar memoria Memoria Australi legislacion tabaco mas dura Australopithecus Autismo Aumento Autismo Sobrepeso embarazo Autismo alteración genética vinculación Autismo cerebro escrito 6 meses Autismo padres riesgos Autismo rompecabezas resolución? Autismo síntomas pediatras Auto volador Automedicación peligro Automóvil Automóvil Autocontrolado Avance estudio rejuvenecimiento. Avances Cáncer Pulmón Cáncer de Pulmón Avances DIABETES 2014 Diabetes PROLILENDO PEPTIDASA Avances diabetes tipo1 células madre Ave del Terror Aviones Avispa veneno cáncer Avión Solar Azerbayán Azheimer cura Azheimer ejercicio físico salud cerebral Azucar hiperglucemia cerebro Azúcar lucha daño Azúcar nociva marihuana encuesta Azúcar tóxica B12 BASE BCL11A cáncer mama Cáncer triple negativo BERLIN by heart Babosas rosas Babylon Bacteria Evaden Vacunas Bacteria mortal germen devora carne Bacterial oral Bacterias artificiales Bacterias enfermedades corazón Bacterias estratosf´ricas electricidad Fuente Bacterias magnéticas Bagó Baideu Eye Bajan salarios Baltimore desigualdad informe Banco Mundial ébola pandemias OMS Margaret Chan salud sistemas Bancos españoles pérdidas Banda ancha Barack Obama Plan Mérida Bastones visuales Bata Blanca Baterias Batería flexible Baterías biodegradables Bazo artificial Bergoglio Berrro Bicicleta Bicicleta de cartón Bill Gates filantropía innovación Bin Laden Bio-Patch Biochip Biocomputación extracelular nanorrobots médicos Biología Ciencia Drogas Medicina Salud estados_unidos internacional Biología sintética Biomedicina recubrimientos corrosión desgaste Biovidrio Bioética Bipolaridad Blac-kout alcohólico Blackberry Bloquear replicación Bluetooth Boga Gay Bogénesis Bolivia Bomba denunciante Cariglino Boniato fibra patata dulce potasio vitamina A Bosón de Higgs Brainstorming Brasil Educar y bancarizar Brasil extraña enfermedad genética Bronquiolitis Buenas Buenos Aires 100% libre de humo Bujías Láser Buscador centífico Fundación General CSIC Google Bélgica Búsqueda médica C-PULSE Corazón Insuficiencia Cardíaca CADEO CADEO presidencia CAFE CAME CAME Reunión Frutihortícola CANCER NF-KB CANCER PREVENCIÓN CANCER Tumor CARDÍACOS CAfe ayuda reducir cáncer de útero CDC CENARESO Curso CHILE NO AL FAST FOOD CHIP USA todos Smartphones CIA CINTA ADHESIVA INOCUA CNIDARIO VIH proteína sistema inmunológico COLORRECTAL CONDUCTORES CONICET CONTAMINACIÓN MERCURIO GLOBAL CUBA CNIC Cabellera Cabinas bronceado Cacao Cacao menor Presión arterial Cadetas Sexo Oral Café cáncer melanoma Café límites salud 4 tazas 400 miligramos bebes Calcio Infarto Calcio arterial Calcio exceso riesgos Calendario Maya descubrimiento Calentamiento Oceánico el hombre daño Calentamiento global Ciencia Francia Salud internacional rusia Calvicie próstata asociados Calvo Cama solar carcinógeno clase uno Cambio de década Cambios hormonales migrañas mujeres Camionero al sol exposicion sol efectos sol Campaña Campaña "¡Reemplace la sal!" hipertensión alimentos procesados FIC hamburguesa con papas fritas World Action on Salt and Health Canas Cancer THC Cancer de ovarios Cancer nanofármaco Cancer pulmonar Cancilleres Cansancio causas distintas Capacidad funcional Carbono. diseño Cargador Caribe Caries aceite de coco Carlotto Carne artificial Casa modelo en Eucaliptus Casas pequeñas Casco inteligente Casco magnético Caso Candela Caso Candela Vergonzoso Caso Diane 35 granos Catalunya Catamarca Cateter multisensor Cefaleas clasificación nuevas Celular Celular 2 Celulares cáncer cerebro Celulitis Frutas y verduras Celulosa nanocristalina Celíacos Cementerio Maya. 1200 años Centro decisiones sociales Póker Centroamérica Cepa rara Cerdos Cerebro Obesidad Cerebro Cerebro Antidepresión Cerebro Colores almacenamiento Cerebro Comunicación Estudio Cerebro Diabetes Cerebro Enfermedades Medicina Salud Tecnología estados_unidos internacional Cerebro agonizante Cerebro conocimiento traumatismo resistencia recuperación Cerebro embrionario Cerebro memoria miedo casos respuesta Cerebros. imágenes Certificación Certificación en Creatividad Cerveza Cesárea Champagne Champix peligroso Chernobyl. impacto Chernóbil materia orgánica descomposición Chi Kung Chile 1er trasplante facial China impresora 3D misión espacial China Edificio tambor récord guinees China cuna del arroz China móviles mercado mundo primero China nanogenerador marcapasos respiración China soporte vital biogenerativo Chinos altura peso crecimiento Chip Chip Biodegradable Chip.salud Chipre Chips Chocolate Corazòn Salud Cardiovascular Chupete Chía Buena Salud Cialis Ciberanestesia Cicatrices reducir Cicatrices tratamiento innovador Ciencia Cáncer Descubrimientos Italia Medicina Salud Tecnología Ciencia Descubrimientos Enfermedades Italia Salud internacional Ciencia Descubrimientos Enfermedades Medicina Tecnología EEUU Ciencia Descubrimientos Europa Genética Italia internacional Ciencia Descubrimientos Medicina Niños Reino Unido Salud internacional Ciencia Descubrimientos Medicina Salud Sociedad Tecnología Ciencia Descubrimientos Medicina Salud internacional Ciencia Medicina Internacional Salud Vida Muerte Existencia Ciencia Salud estados_unidos internacional Ciencia mirada hoy Científicos internacionales Africa salud mental plan Cietífico Montada cáncer prevenible 30% Cigarrillos electrónicos cáncer pulmón Cigarrillos electrónicos inseguros humanos Cine y Pediatría Cipolleti Cirujía Cistina combate tabaquismo Ciudad móvil Ciudadanos cáncer genética datos investigación Claustrofobia causas Cloramina tóxico silencioso piscinas Coca Cola Cáncer ratas Coca Cola Cáncer sustancia Cocaina Cocaína cerebro cambios estructurales funcionales Adicción Cocaína consumo Suuiza Europa Cocaína muerte súbita Coche portable Cocurso Banco Central Argentina Codo dolor golpe Coelsterol Colesterol amenaza silenciosa Colesterol válvula aórtica Colon irritable Colorado Colores Coma estimulación eléctrica cerebro Combustible Cometa amenaza tierra 2016 Comida cuando es buena Como pasa el tiempo Complejo teatral Buenos Aires programa Comunidad Armeni Conductas obsesivas Conectividad Cerebral Evolución Conejos arteriopatías amor Conferencia Magistral Conflictos Conmutador molecular Construcción Diseño riesgo cambio climático ciudades costeras riesgos infraestructura preservación Agua Sustentabilidad Económica Seguridad Recursos Economía Urbanismo Política Contaminación espacios cerrados cáncer Continente americano obesidad Contrabando anteojos y juguetes Control estatal Control externo Control nocturno Convulsiones Corazón 3D impresión espuma molde Corazón Robótica Cardiologia Robot Corazón artificial.vaca Corazón sano hábitos saludables Coro Coronavirus Correa Golpe Paraguay Correr hacia atras Corrupción Costo Coágulos Craig Venter genoma enfermedades envejecimiento longevidad Cratolagnia Crean Neuronas con células de piel Creative.OS Creative.OS sistema operativo creatividad innovación Juan Prego Actitud Creativa Creativity Killer Creativity Killer #2 Crema solar Crioconservaciòn Criptigrafía cuántica Criptomnesia plagiarios Cromosoma 21 Cromosoma Down Cromosomas 180 millones año conservados Cruce Sanmartiniano 2012 Crujir poema Cráneo fractura 3D China repación Cráneo transplante impresión 3D China Cuba Cuerpo Humano virtual Cumbre climática Cura Cáncer Burzynski Cura Leucemia Curiosity Cácer de mama Cálulas madre Cámara sin lente Cáncer Clostridium Novyi Cáncer Colorrectal vitamina D Cáncer Enfermedades Medicina México Sociedad Ciencia america_latina Cáncer Gen del Cromosoma 21 evitar Cáncer Hígado Carcinoma Hepatocelular Citrus OR1A2 Terpeno Cáncer Investigación dasatinib Cáncer Melanoma Cáncer Nuevas Terapias Cáncer Tumor Cáncer Vacuna Cáncer aceite marihuana cura Cáncer alimentos frenos salud Cáncer antigüedad mayor Cáncer atención personas padecen Cáncer aumento 2030 Cáncer cafeína oro mejora Cáncer colorrectal mejora Cáncer conocimiento Bisell Cáncer crecimiento celular descontrolado Cáncer crecimiento células madre Cáncer de Colón Cáncer de tiroides Cáncer de tiroides "Las mariposas" Cáncer gástrico Botox quimioterapia Cáncer hallazgo Cáncer inmunoterapia tratamiento camino nuevo Cáncer mito verdades Cáncer nuevo tratamiento Cáncer oral Cáncer prevención naranja Cáncer pulmón Cáncer pulmón detección Cáncer páncreas armaduras descubren Cáncer telómeros desprotección diana Cáncer terapia Cáncer terapia fotodinámica infrarrojos combate Cáncer terapia nanopartículas Cáncer tipos mapa mundial Cáncer tumor Investigacion Cápsulas Cárceles argentinas Células Madre en lentes de contacto Células Madre sangre gota Células cancerígenas Células cardíacas Células cáncer Células embrionarias Células grasas Engordan Obesidad Células madre curar calvicie Células madre clonación transferencia nuclear Células madre embrionarias ceguera Células madre memoria Células madre parálisis cerebral Células madre tumor cerebral Células madre virus herpes tumor cerebral Células oculares Células solares Células solares ventanas Cítricos Còrdoba Córneas transplantes sintéticas Cúmulo DELATAN DENTAL DIA MUNDIAL EPOF DIETA FRUTAS VERDURAS DIU Anticonceptivos Embarazo Prevención DMS DRONES SANGRE trasnporte emergencia Fráncfort Dali Dalia flor diabetes Darwin Darwin visión del mundo evolución religión UNED divulga UNED Dato personales Daños ambientales gas natural Declive Dejar fumar Dejar fumar no engorda Delpo Demasiada información Demencia senil Democracia Demografía recursos transporte sostenible público vías acceso Tecnologías futuro Gestión Formación Educación Recursos Urbanismo Política Sostenibilidad Dengue malaria bacteria mosquitos transmisión Dengue vacuna efectividad 56% Deporte Depresion Caminar Depresion Tratamiento Depresión estimulación magnética transcraneal Depresión materna Depresión riesgo aumentado 6 8 veces Deprimidos Derrames de petróleo Desafío Argentino Desanilización del agua de mar Desarrollo cerebral Descalzo Descongestivos Descubren Agujeros Negros Galaxias Descubrimientos Egipto Enfermedades Historia Salud Sociedad Ciencia america_latina Desempleo Desinfección equipo médico infecciones Desinfección hospitalaria Desprendimiento de retina Desregulación venta medicamentos Deterioro cognitivo avance Dia Mundial sin Tabaco Dia de la Innovación Dia del Nió en Morón Dia internacional de la mujer Año internacional de las mujeres científicas Dia mundial cáncer ovario Diabetes 2 Arroz blanco Diabetes Sexualidad femenina afecta Diabetes Tipo 2 Vitamina D Diabetes gemelos tipo 2 Diabetes gestacional riesgo autismo bebé Diabetes gran crecimiento estadístico Diabetes mellitus 2 Diabetes mujeres infecciones órgano reproductivo Diabetes reflexiones aportes Diabetes tabaco complicaciones vasculares Diabetes tipo 1 ‘revertida’ ratones Diabetes tipo2 Diabetes vasculitis angiogénesis adrenalina vasa vasorum Diabéticos EEUU crecimiento Dibetes 2 Dieta Vegana Respaldo Médico Dieta insana Dieta mediterránea cáncer de mama cáncer 30% menos Dietas Diplopia Directora OPS avala despenalización droga Diseñan Disléxico Disléxicos lectura facilidad Dispositivo electrónico recuerdos Dióxido carbono Dolor Crónico Emociones Psicológico Dolor crónico Dolor de cabeza Dolor de cabeza estudio Dolor fantasma Dormir bien Dormir muy poco Dormir poco Dormir recordar necesidad Down test embarazo Dr Dr. Helou Draco contra todos los virus Droga Linfoma Ciclofosfamida Dron Drone Drones Colombia Drones en Brasil Drones submarinos Drunkorexia Duomóvil DÈFCIT HORMONAL COLÁGENO Día Internacional de los bosques y los árboles Día Mundial contra el Cáncer Día Mundial de la Sonrisa Día Mundial del Agua Día Mundial del Corazón cuidado factores riesgo Día Mundial del cáncer ONU Día Mundial del sueño insmonio apneas descanso productividad secuelas Día agitado Día de la Innovación 2013 Día del Medio ambiente Día del aire puro E. coli biotecnología bacteria biosensor E4U EBOLA Featured ECV EE.UU. EEUU antídoto opiáceos sobredosis Evzio receta médica FDA EEUU 10% frutas verduras comida EEUU MIR cirugía general abandono EEUU alimentos "naturales" demandas falsos EEUU cirugía asistida robot aumento EEUU compañías comunicación poder EEUU corazón impreso 3D niño EEUU estimulación magnética cerebro EEUU fármaco impresora 3D aprobación EEUU genoma enigma mutaciones voluntarios 1 millón EEUU leche materna venta leche de vaca EEUU líbido femenina estudios EEUU medicamento alergia polen EEUU obesidad niños adolescentes EEUU obesidad sobrepeso récord EEUU secuenciar ADN EEUU universitarios Marihuana supera tabaco consumo EEUU ántrax gripe aviar muestras laboratorios clausura EHGNA solución grave EII EJERCICIO DURO ELA Esclerosis Lateral Amiotrófica EPO EPOC diagnóstico tabaquismo espirometría EPOC síntomas sondeos pacientes AAMR FundEPOC semana EPOC herramienta gravedad nivel EPOC reingreso 45% hospital ESHRE fertilidad píldora anticonceptivos reproducción EXTRATERRETRES? Ebola OMS 20mil 2014 Ebola nueva vacuna avances Ebola suspensión ensayos clínicos Ebola virus suero experimental California Ecuado suspende ONG Edad materna Edificio Edorexia Eduardo Galeano Ejercicio Computación Memoria 3a. edad Ejercicio función cerebral jóvenes Ejercicio físico prolongación de vida Ejercicio regular Ejercicios Ejercicios evitar Alzheimer El Arcón de los Sueños El Pacto nominado El Sujeto ante su muerte El Sur se Mueve El agua El agua del Fin del MUndo El carbón El e-pill Station El olvido Elecciones 2013 Electricidad almacenada papel Electrónica flexible Elevadísima velocidad evolución Eliminan leche Elogio Elogio de la locura Embarazo Duracion Metabolismo Embolias Embriones Emociones Expresión Enfermedades Aautoinmunes Alexitimia Empatía Empresas fantasmas En Salta Trabajo ilegal y explotación menores Encuesta Endocarditis Endoscopio Endulcorante artificial Enfermedad de Crohn diagnóstico tratamiento manejo largo plazo Enfermedad de Huntington Enfermedad de Lafora glucógeno cerebro neuronas Enfermedades Medicacion distrofia muscular Enrédate Entender Entrenamiento mental Entrenar Corazón mejoría Entrevista Envases biodegradables desechos pan Envejecimiento activo salud ejercicio alimentación Enzima Nervios protegidos Enzima mutante Enzima para hipertrofia cardíaca Enzimas hepáticas Epidemiología tabaquismo médico Equizofenia Errores Escalar Escepticismo Esclerosis María Paz Esclerosis Múltiple Día Mundial Esclerosis Múltiple Pastillas de marihuana alivian sintomas Esclerosis nuevo camino Escudo antiesteroides Escáner Espacio Público Espacio-tiempo España Agricultura ecológica España Ministros Lumbreras España PP España Rajoy Ajuste España denuncia internet limitación España inmigrantes España ley antitabaco España marcha Rajoy España riesgo mayor CV España tabaquismo 60.456 muertes año Espectáculos Espejo revelar cerebro Espumas Esquel Prevención de las Adicciones Esquizofrenia Dependencia Salud mental Enfermedades mentales Discapacidad Enfermedades Medicina preventiva Medicina Salud Sociedad Estado vegetativo conciencia? Estados Unidos American Heart Association Pensilvania Sheila pistachos corazón diabetes II Estadísticas Estafa telefonía móvil Estatura 700 variables genéticas Esterilización a vapor solar Estigmas Estilos de vida Estimulación eléctrica dispositivo Ictus caminar Estimulación sonora Estimulación transcraneal Estornudo Estrés adrenalina ACV ataque cardíaco Estrés crónico Estrés empático contagio Estrés laboral Estrés visual Europa envejecimiento obesidad Europeo Eva Illouz Evalúa Evasión descubre AFIP Evo Evo Morales Ex SADOVA Frigorífico recuperado Examen sangre Exceso de confianza Excesos comida bebidas alcohólicas úlceras mala salud Exoesqueleto Exoesqueleto Maratón Expectatica de vida Experiencia Extirpan tumores Extranjeros Extraña enfermedad síndrome excitación genital Extrovertidos FABP5 FEARAB Asesinados en el Golan FEARAB intromisión extranjera Siria FELAP UTPBA FEMICIDIOS ARGENTINA FESS FIBROMIALGIA TRABAJO SEDENTARIO EMPEORA FICIP FUKUSHIMA CONTAMINACIÓN MAR FUMAR HPV PAPILOMA HUMANO TABACO TIPO VIRUS Falleció Falta sueño Fanatismo religioso Fantasías Sexuales mujerres Farmaco Inhibición tumores Fatiga Crónica Felipe Calderón Femicios en Argentina 2011 Ferrá Adriá México Fertilidad PROCREATEC Fertilidad hombre calzoncillos ajustados Fertilizante Fibromialgia familia generación enfermedades Fibrosis Fibrosis Quísitica Fibrosis quística evolución Fisioterapia del suelo pélvico Fobia Fondos Buitre Fondos previsionales Corte Suprema Formación musical protección cerebro Foro de Bogotá Fragata Libertad Francia espermatozoide laboratorio Francia gobierno tabaquismo reducción Frijoles Fruta entera Fukusahima Fukushima 3 años Fukushima Nuclear Colapso Fukushima afectó 70% materiales subterráneos Fukushima cáncer demanda trabajadores Fukushima menores cáncer tiroides Fukushima mutante Fumador pasivo Fumar 1 a 4 cigarrillos por día aumenta el riesgo un 40% Fumar Tabaquismo Vacuna Fumas Función nerviosa Fushima Fuxhima Fàrmaco Fármaco enfermedades neurovegetativas Fármacos mulfuncionales Física Atomos Quarks Física cuántica Física cuántica Atomo Física cuántica mas incertidumbre GPS GPS radioterapeútico GTEx predisposición genética genoma ADN ARN expresión génica gen genética tejidos bioinformática Gafas Gala solidaria Messi Galeano Galileo Galileo Galilei Garrapata - Vegetarianos Gas natural Gasa bisturí Google Glass Gaseosas Gaseosas problemas de Salud Gases Diesel Cáncer Gastar dinero Gasto global Gaza flotilla humanitaria Gaza niños terror secuelas Gelotofobia miedo risa Gen Páncreas Tumor Gen cerebro Materia gris Gen cáncer de mama pulmones falla Genes homosexualidad relación Genes liberados Genes reloj biológico Genialidad Genoma Espermatozoide Semen Genómica exprés Geonick Gigantes Asiáticos Gioconda sonrisa misterio desvelado Glaciar Glaxo otro ensayo Glifosato España La Argentina Glifosato autismo Monsanto Glifosfato Globalización Gluten detección dispositivo comidas Glándulas sudoríparas Gominolas gelatina positrón Universidad de Tecnología de Múnich cápsulas antimateria electrón partículas elementales Google Google Earth Google Glass antiestrés Google Glass medicina médicos Google Glasses Google desarrollo nanopartículas cáncer detección precoz Google doctores pacientes contactos test Google reconcimiento facial Google robot cirujano Gorila Genoma Secuenciado Gran Bretaña SIDA pruebas propias Granos enteros alimentos salud trigo Granos integrales prolongar vida Grasa Corazón Cerebro Afectados Grasa Frio Activación Grasa oculta visceral Grasa perder peso Grasas afectan semen Grecia Grecia suicidios aumento crisis económica Greenlight Biosciences Griesa Gripe A influenza Mexico decesos Gripe Contagio Síntomas Gripe nanopartículas Groenlandia Guante electrónico Gustómetro Génetica HIP HOP TANGO Haiti Hamburguesas Harvard Harvard luz ultravioleta corazón repartar Hawking HealthKit Apple EEUU hospitales prueban Helicobacter Pylori Helou Hemorragia Cerebral Hepatitis Mundial Hepatitis diagnóstico tratamiento Américas Heroína EEUU mortalidad duplica Higado artificial Hipercolesterolemia Familiar Hipertension arterial caminos Hipertensión flavonoides apigenina Hipetension diferencia Hipetensión Arándanos Hipnosis Historia clínica Hologramma 3D Homo georgicus Dmanisi cráneo 5 Antropología Dental Homo erectus Hongos alucinógnos Hongos dióxido de carbono determinar Horacio cartero analfabeto historia Hormonoterapia Hospital Ituzaingó Hoteles mini aeropuertos Hsp90 Huellas dactilares Hueso Material inteligente cura Hueso Parecido 3-D Huevos Humanos serpientes Humo afecta bebes fumadores Hyperloop Hígado enfermo Hígados en miniatura I+D en España abandono gubernamental II foro Mundial del Talento IMPULSIVIDAD INCYL dolor neurotrofinas dolor crónico NGF INFRARROJO DESTRUYE CÁNCER INTA INTA Expone Region Pampeana Ictus daños secundarios proteína prevención Ictus mujeres calidad de vida Ideas World Cup Ideas World Cup Brainstorming lluvia de ideas tormenta de ideas actitud creativa Ilusiones Imagen Corporativa Facebook Imagen Masculina Imagen galaxia Hubble Implante óseo Implantes Mmarios PIP Brasil prohibe Implantes Nanoimplantes nanoestructuras Implantes electrónicos bacterias farmacorresistentes autodisolución Implementaciones móviles Imprendedores Impresion 3-D Impuestos Imágenes Inactividad Fisica Muerte India antiobóticos consumo India ministerio yoga ayurveda Indonesia Industria alimentos juez parte salud Infarto Argentina Infarto dolor recuperación Infarto provocado Infecciones autoinmunes Infertibilidad masculina Inhalar Inmigrantes adicciones obesidad vulnerabilidad Innovaciones sanitarias tecnología Innovación Creativa Fotocopia Innovación sanitaria Insomio Insulina Insulina oral desarrollo cápsula Inteligencia Artificial compositor orden obras fecha Inteligencia artificial personas mayores dependientes ayuda Internet de las cosas salud conexión Internet salud experiencia enfermedad Interpretación sueños Intervención Gobierno Fumar menos Interviene Registro Nacional de precursores químicos Investigación automatizada Investigan Invitación especial Irisina hormona aprendizaje memoria neuroprotección Irán Isla Basura Isla de Bastoy prisión modelo Israel eutanasia activa Italia Medicina Salud internacional rusia Japoneses Alzeimer detección Japón aeropuerto ébola prevenciòn temperatura Japón Centraes Nucleares Japón célúlas madre pluripotentes 90% menos Japón erupción volcánica población muerte Japón gripe aviar cepa altamente patógena Japón programa ·D mapas invidentes Japón ratón lesiones cardíacas recuperación Japón transplante pulmón donante vivo niño 2 años Jeringas Jornadas Jovenes Obesos Cálculos biliares Juegos PC Juez Carlos Rozansky Juez López Biscayart Jugar Jugo Pomelo Cáncer medicamentos Julia Lane ciencia economía EE UU empresas Juno proteina fertilidad Justicia Argentina KIRCHNER Kalashnikov Katheen Taylor Kohanoff Premio OEA No juegues con tus ojos L-carnitina LIVERE VIVENT infarto insuficiencia cardÍaca cirugía cardiovascular LUNA y TIERRA FAMILIA LUZ AZUL LVAD Insuficiencia Cardíaca descanso La Florida EEUU bacteria ‘Come carne’ La Neurona de Jennifer Aniston La Niña Gripe epidemias La Piedra de la cordura La TV Salud Mental La calabaza La culpa Caducidad Land Airbus Land Rover Defender Landhof Laringe Las virtudes Cardinales Latinoamérica Lavado de Manos Le Monde Diplomatique Le Prenom Lenovo Lente contacto Lentes de contacto Lentes y colirio Lesión Medular libro rugby Leucemia inmunoterapia 88% cura Ley antitabaco no se cumple Ley antitabaco se trata en diputados Leyes comportamiento Libano Presidente embajada Libia Embajador EEUU muerto Libro No te rindas Libro Teoría general sobre los hijos de puta Limón propiedades beneficios Linterna plasma mata microbios Liposomas Lista Blanca Llama Llama anticuerpos enfermedad humana Longevidad 12 claves ciencia Lope de Vega Los Angeles cigarrillo electrónico prohibición espacios públicos Los nuevos enfermos Los países con más vacaciones en el mundo son...acaciones Costo Rendimiento Lucemia cromosomas catástrofe Luna Lupus genética Lámparas Lápiz M proteína acabar infecciones MARVEL cámara 3D cerebro cirugía MDMA MECANISMO PROTEGE DAÑOS ACV MENOS ACV MERS vacuna ADN sintético inmunidad MERS MERS-COV MERS anticuerpos humanos corona virus MOTOR ELÉCTRICO MAS PEQUEÑO Macacos Neurona superior Macri Guru espiritual asesinos de Ghandi Macri autoincineraicón inteligencia Macri baja presupuesto mujeres Macri compra sobreprecios Madre Madre adolescente Madres Fumadores bebés Madres presentes en adicciones Madrid Magadalena Ruiz Guiñazú Mal de Chagas EEUU 400 mil infectados Mal de las Alturas Mal empleo Mala salud cardiaca encías bacterias Malaria OMS muerte 500mil año Malaria ONU cobertura Malhumor enfermedad Malvina Homenaje Ituzaingó Mural Malvinas ONU Malvinas Patria Latinoamericana Mancha Petróleo Golfo de México Mandarinas protege corazón Manganeso en lugar de calcio en Osteoporosis Manos Manzana Calorías Obesidad Manzana colesterol previene enfermedades cardíacas Mapa Mundial Maquina leer pensamientos Mar del Plata hidrogel heridas cicatrización Jimena González UNMdP piel Marcapaso Marcapasos ¿Hackeados? Marea roja costa atlántica Marihuana libre Mario Benedetti Mario Benedetti poema Mario Bonino Mariposa robot Israel espía Marruecos Marte Masticar mas comer menos Matemáticas célula cancerosa vulnerable Maternidad Matete Divergente Matriz Google Mc Donald Demandan Mecanismo inmunológico vacunas Mecanismo neuronal frena recuerdos aosciados al miedo Mechanical Turk Mediamenteo Melanoma Mediateráneo Medicamentos falsificación internet Medicina Biológica Medicina China Medicina Occidental Medicina Personalizada Medicina ancestral asiática Medicina estados_unidos Ciencia Salud Tecnología Medicina preventiva Meditación Bienestar Meditación Conciencia Mensajes subliminales Meditación ZEN cerebro Mejor presentismo Membrana biodegradable Meningitis Meningococo Menor peso Mercurio máximo envenenamiento Mesa Interministerial Messi gala solidaria Argentina Metabolómica medicina personalizada Metamaterial Meteorito California Meteorito nuevo Meteoritos Metástasis identifican agente celular Michael Moore Michelle Bachellet ONU violencia de género acciones Michelle Bachellet ONU violencia de género 16 medidas Acciones MicroARN enfermedades cardiovasculares Cardio. Next MiRagen CNIC Microbios combate contaminación radiación Microprocesadores ADN y Bacterias Microscopio Microscopio optico traspasa límite teórico de resolución Microsoft reloj inteligente frecuencia cardíaca Migraña Salud Sexual Minera Alumbrera Minería Minicerebros Minicélulas Modelo 3D cáncer evolución Modelo Argentino de Salud Libro Modelo sistémico diagnóstico Moleculas plasticidad envejecimiento Molusco contagioso Mona Lisa calva Mono Mordedura Tiranosaurio Rex Morfina innovación uso premio internacional Morir Morón ACUMAR Mosquitos Motalidad infeccion hospitalaria Mozo de bar Muerte 3 millones Comida chatarra Muerte adolescentes embarazadas Muerte de KIM JUNG-IL Muerte determinar fecha prevención Muerte súbita riesgo la mañana Muerte súbita deportes Muestras anatómicas 3D entrenamiento médico Mujer Obesa Boda 72 kgrs menos Mujer rostro iluminado Mujeres embarazo obesidad Mujeres 77% Mujeres en el Rally Frers Trincavelli Mujeres fumadoras doblan hombres España Mujeres tabaquismo y arteriopatía de miembros inferiores Mujeres y ataques Cardíacos Multan por fumar en Uruguay Multivacuna Mundo historia Museo Guggenheim Bilbao Musica Estudio Niños Cerebro Mutaciones genéticas Mutación genétuica cáncer páncreas China MyHeart Nature Universidad Indiana Estados Unidos Máquinas debate lenguaje reto Más liviano que el aire Médicos Médicos inglese Médula Espinal Restauradas Ratas Médula espinal estrés te verde protección México Conferencia Roland 2014 diabetes México diabetes empleo pérdidas sobrepeso México guante lenguaje traduccióm sordomudos Músculo cardíaco Músculos artificiales Música efectos personas comportamiento organismo Música fuerte daña oído Música geometría Música triste NAO robot terapéutico niños NASA GPS Terremotos NO dieta NOS ESPÍAN NUEVOS DESARROLLOS 2025 Nace ULAN Nacha Guevara Tita Merello teatro Namba Neraa Nanject Nano-máquinas Nanodiamantes Nanofibras Cicatrización Nanolaseres Nanomarcapasos cardíacos dolencias Nanonhilos de plata Nanopartículas hierro cáncer Nanopartículas magnéticas cáncer biomarcadores fluidos corporales Nanopartículas silicio vacunas cáncer Nanorobots combate enfermedad salud Nanotecnología cáncer lucha efectividad biomarcadores aliento saliva orina Narcisimo Narcisismo dotes de líder frontera? Narcisismo recesión económica menor Narcotrafico mexico Zetas Natación ejercicio más completo Nature Navy Seals Neofobia nuevos alimentos temor Nestor Kirchner ADIMRA Neumáticos Neuquén Neuralgia Neurociencia Literatura complejidad humana Neurociencias Cerebro Circuitos del placer Partes del cerebro Circuitos cerebrales Neuroimagen Neuromarketing Neuronas Sangre Cordón Umbilical Neuronas espejo Neuronas recuerdos específicos Neuroprotección Neuroprótesis inteligentes Neuropsicología Psiconeuroendrocrinología Endocrinología Estres Cortisol Estrés crónica Estrés emocional Estrés crónico Estrés empático Empatía Neurotransmisores y Conductas New Horizons Rolf Dieter-Heuer Nature LHC Atapuerca Ébola Plutón Ceres Antibióticos Cambio Climático Mujeres Planetas Newton Nicaragua Terapias alternativas Niña Yemení Niño cáncer tratamiento cárcel padres Niños Afecto hipocampo mayor Niños creativos el niño y la gotera Niños muertos No Easy Day Osama Bin Laden Asesinato No fumar Engorda no es malo Nobel Phelps economía solidaria Nobel de medicina 2012 Nobel denuncia laboratorios Norpatagonia Noruega Notebook solar Nube Nuerociencia Nueva York advertencia fast foods restaurantes comidas rápidas sal hipertensión Nueva York subway pestes Nueva física Nueva herramienta imágenes cerebro ratones Nuevas enfermedades Nuevo Mundo Acuático? Nuevos materiales Nunca he partido Nutrigenómica OMS Asamblea Mundial de Salud ébola gripe aviar H5N1 H7N9 MERS-Cov OMS Coronavirus 200 muertos Oriente Medio OMS Informe anual OMS antibióticos resistencia OMS cáncer cuello uterino OMS diabetes OMS fumar tabaco cigarrillo OMS hepatitis mortal SIDA OMS jeringas inteligentes contaminación OMS malaria efermedad mortífera mayor OMS mortalidad neonetal reducción compromiso OMS obesidad infantil lucha OMS polio emergencia mundial salud OMS siria investigación vacuna muerte niños OMS suicidio jóvenes OMS tuberculosis infantil subestimación OMS Ébola test 15 minutos OMS ébola denuncia mercado negro ONU Día Internacional de la Juventud salud mental ONU Clima Congreso optimismo ONU SIDA U$S 32 mil millones fin 2030 ONU SIDA campaña Mundial fútbol ONU personas discapacitadas inclusión ONU relación humanidad planeta” ONUSIDA OPS alerta virus cuasi dengue ORCADAS Oasis Obama se impuso Obesidad Depresion Somnolencia Obesidad causa genetica Obesidad diabetes combate soja nopal chía Obesidad en la etapa adulta Obesidad enfermedad cardiovascular hipertensión cáncer diabetes aterosesclerosis enfermedades metabólicas hipercolesterolemia Obesidad infantil EE.UU. Canadá Obesidad masculina Obesidad y Asma Obesos Oculus Rift Ojo Bionico Ojo Biónico Ojo seco Ojos color salud indicador Ojos visión genética Olas de calor aumentarán Oliver Sacks cáncer terminal despedida carta Omega 3 Omega-3 Omega3 y morfina Oncólogos SÍNDROME DE 'BURNOUT' Onicomicosis Opiáceos Opticos su día COPBA Ordenadores Oreja Organización Mundial de la Salud Organización Mundial de la Salud capacidad operativo emergencias sanitarias Organización Panamericana de la Salud Organoides cerebrales TR10 mente Oriente Medio Orquesta Juan de Dios Filiberto Osteoartitris Osteoartritis Osteoporosis Vino Osvaldo Bayer y Descalzo Otilio Romano Oxfam Oxígeno inyecciones respiración comprometida Oxígeno inyectable Ozono atmósfera agotamiento P75 Reparación de nervios revertir PARALISIS PASK PEDRO REÑE presenta CARDUMEN en Buenos Aires PERROS PRISM PRMT5 PRO.CRE.AR BICENTENARIO Pacifistas israelíes Pacífico Padres sedentarios Paiso fiscal futbolistas transaciones Paleolítico Palestina sigue sufriendo Pan blanco obesidad riesgo 40% Panasonic Paolo Rossi Papas fritas y endocannabinoides Papel electrónico Papel paredes LUZ Papiloma hongoshiitake (Lentinula edodes) combate Papás amigo padre huéfanos Paracetamol Paracetamol lumbalgia efectos Paracetamol riesgos Paraguay Paralizado Paranoia Paraísos fiscales Parche inteligente circuitos sensores radio Science Parejas de hecho felices Parir anestesia dolor Parkinson taichi chi kung Parkinson alternativa terapeútica Parkinson apoptosis fármacos Parkinson descubrimiento clave Parkinson detección temprana Argentina científicos Parkinson mecanismo propagación celular Parlamento Europeo Parque Industrial Morón Parto muerte ONU 880 por día Parto prematuro Parto trasplante de corazón buen término Parásito Malaria muto Parásito intestino gatos cáncer tratamiento Parásitos alergias células dendríticas Pastilla para olvidar Patentan Patriarcas Siria comunicado Pegamento Pelea Peligro Publicidad alimentos no saludables Peligro anteojos venta libre Pena de Muerte Horror Venganza Pensamiento Creativo Pensamiento infantil Peor efecto Periodontiti Perro embarazadas ejercicio Personalidad y adicciones Perú Chile cáncer niños Perú no recibe a fragata guerra inglesa Peter Dukan dieta Dukan colegio de médicos francés expulsión Petróleo vida bacterias lago Pitch Pez Pez radiactivo Philips Picante Piel electrónica Piel sintética Piernas manchas blancas Piezas construir moléculas complejass Pilas fabrica Capas Spray Pilas ión-litio arena eficacia 300% Pingüino gigante Piratear Pirita y paneles solares rinde Pistacho Pistachos Pistas genéticas Planetas lunas albergar vida Plantas 400 Plaquetas Plasma Plataforma Platero y yo Evolución cerebral Plástico de hierba Plástico vegetal Poema Clase Media Polen Polimedicación Polonio 210 Polímatas Polímero fotovoltaico Política que es Políticas Públicas en Salud Mental Predecir abortos espontáneos Prevencion cáncer de ovario Prevención CÁNCER Colón ProEthos Problemas de piel Procesos Procesos géneticos Cáncer Progeria Prohiben fumar Prostitucion Proyecto BRAIN Proyecto Brookhaven Práctica descanso mejora Prótesis mamarias cáncer relación Francia Prótesis regenerativas Prótesis robótica músculos artificiales rehabilitación Psicofármacos opción mala niños Psiquiatría Farmacología Salud mental Medicamentos Industria farmacéutica Enfermedades mentales Farmacia Especialidades médicas Medicina preventiva Enfermedades Psiquis Pubertad precoz Pulseras hápticas Punto G existencia descubrimiento Péptido Péptido Antimicrobiano Curry Péptidos artificiales tumores Píldora obeso obesa quema grasas Píldora vibratorio estreñimiento Quieren vacunar 41 millones Quimioterapia cáncer expande? Quiropraxia riesgos vertebras cervicales Quirófano Quiste de Tarlov Quiste perineural RH clave enfermedad cardíaca RIMS Rabi Rabia embarazo tratamiento Rabia humanos muerte prevención extensión Radar Cuántico Radioterapia evitar sol un año Rafael Rafael Yuste Iniciativa Brain cerebro Rally Argentina 2012 Rapidez Sinapsis Equilibrio Ratones Hallazgo Ciencia Cocaína Ravi Rayid Ghani Rayos Ultravioleta Rayos Uva Tumor cutáneo inmunosupresión Rdiación Realidad Aumentada 3D morfología dental Realidad virtual alcoholismo tratamiento Realidad virtual rahabilitación pacientes ictus ACV Redes Intelectuales Reemplazo Cadera Duración sin términoo Reemplazo rodilla Reforma judicial Reformas Refrescos Riesgo ACV Región cerebral sobre el azar Regulación genes neuronales Rehabilitación Reino Unido diabetes emergencia nacional Reir comer chocolate corazón ánimo Relaciones Relación espejo Remolacha bajapresión arterial Repudio ataque canal 3 Chile Reserva Natural Morón Residuos plásticos U$S13 mil millones pérdidas mar Resiliencia Boris Cyrulnik Resveratrol TYRRS-PARP1 vino tinto Retina células madre Retina degeneración indicios Retinas artificiales Retinas electrónicas Reuccion ansiedad nicotina Revertir la sordera Revista RSalud Revista formato App Ricardo Passano Riesgo de ACV Riesgos Implantes de cadera Rinoceronte Rinón artificial Risa medicina excelelnte Ritmo Circadiano Neurodegeneración Rnitis alérgica Robot Conciencia reflejo Robot Da Vinci Robot Madusa USA Robotos con Rabo Robots Pequeños Cortazón dañado repara Roger Federer tenis Roncar Ronda Negocios Regional Ituzaingó Ronda de Negocios Ituzaingó Rostro humano Rumanos Rumiar pensamientos SARS SEBASTIÁN PIÑERA SIDA HEPATITIS C dispositivo innovador SIDA VIH sin cura SIDA Virus condón desactivar SIDA mujeres contagio SIDA nuevo "talón de Aquiles SIDA prueba casera Inglaterra SIDA sustancia eficacia duración monos SITUACIÓN STENDRA VIAGRA Sal consumo 1 Sal enemigo común Sal exceso esclerosis múltiple Salchichas Salmonella Salud Mental Foro CABA Salud Mental Obligaciones tratamiento Salud Sueño Alzheimer Mal de Alzheimer Dormir Daño cognitivo Pérdida de memoria Salud Visual Salud gestion del cambio Salud mental encuentro propósito Salud protegida Salud pulmonar Saluda Mental Sangre análisis radiactividad velocidad Sangre análisis suicidio predicción EEUU Sangre artificial almacena 2 años Sanguijuelas Satya Nadella karma machismo Silicon Valley Save the Children informe muertes bebés primer día de vida parteras gobiernos Scaner TAC Scioli Seda Araña fuerte acero sintética Seda Gusanos Trasgénicos Sedentarismo letal tabaquismo Selena Semana Mundial Semana del Cáncer de Colón Semana mundial cerebro 2015 Semen Cáncer de mama Sensor muñeca Sentido Ser padre cambio peso hombre Serpientes veneno antídoto universal Sexo educación Sexo mañanero menos gripe mas salud Sexting Señuelos antibacterianos antibióticos alternativa Shanghai Shankar Sida madre a hijo transmisión CUBA eliminada Siesta Siesta beneficios salud Silencios Sexo Profesionales Simios valoran riesgos Simulador Sindrome Colon Irritable Sindrome de Asperger Sindrome de Down Sindrome de Down Mal de Alzheimer relación incidencia Siria y otras Siria Unicef polio contagio niños Siria alguien miente Siria conspiración en EEUU Sisitema Sismos Rusia Irán Tecnología Sistema electrónico fútbol Sistema inmune humano ratones Sistema nervioso central Sistemas inmunológico Smartphone caja negra tratamiento psiquiátrico Smartphones Internet atención pérdida Snowden Sobrepeso niños Social Team Sodio Soja Soja menor cáncer de mamas Soledad Soledad Riesgo Salud Mental Soledad Salud Cardiovascular Soledad mayores mala salud Sombras Sonidos Estrellas Música Sonreir antiestres stres menor Srensibillidad Stallone Stephen Hawking robots inteligentes astucia mayor Stress y depresión reduccion cerebro Sturbacks mensajes WhatApp fraude Stuxnet Sudafrica Sudáfrica Sueño Cerebro Aprendizaje Sueño inadecuado enfermedades cardiovaculares Sueño lúcido Sueño mitos Sueño necesario perdido genes variables Sueño profundo Suiza suicidio asistido suicidio eutanasia Super hacker Supercomputadoras Supercomputadoras universo evolución química Superdrome USA Superfacteria Supermercados Suplementos dietarios Suplementos dietarios inservibles cáncer Suplementos dietarios. no necesarios Suplementos dietéticos Cáncer Suprimir Susan George Súper Tierra TABACO MORTAL ENEMIGO TABAQUISMO política cambio TDAH TDAH DSM psicología neurociencia diagnóstico depresión ansiedad trastorno bipolar psiquiatría autismo TDAH problemas sociales enfado no reconocer TEATRO EN BAIRES TEENANGELS EL ADIOS TEPT TEPT diabetes mellitus riesgo TERAPIA ACEITE DE OLIVA TIC Neurociencia TOC TRASTORNOS TRIPE DE LOCURA 2050 TUMOR CEREBRAL CIRUGÍA TV ambiente información dramática espectacular Tabacaleras estrategias nuevas Tabaco Fondo fiduciario Repara Daño Tabaco abandono resultados Tabaco locura personas Tabaco mata 1 de 2 fumadores Tabaco muerte Epoc Cáncer de pulmón Tabaco presunta evasión Tabaco productos nocivo Tabaquismo Ventilar ambientes no sirve Tabaquismo alcohol Tabaquismo enfermedades mortalidad incidencia nuevas enfermedades Tabaquismo hallan sustancia mas dañina Tabaquismo prohibición publica menor fumar casa Tableta Tabquismo Tacones altos Talleres clandestinos Tamaño corporal ideal Tansplante celular Tanzania niños sangre malaria curación Tarjetas Tarántula robótica Tata Airpod aire comprimido automóvil Tatuaje electrónico Tatuajes eventos adversos Te verde salud Teatro Teatro El Reportero Fabian Vena Teatro Maya 1200 años Teclado antimicrobiano Teclado flexible Tecnología sanitaría Tejido Cyborg Tejido cardíaco Tejido hepático Tejido ovárico Tele-rehabilitacion Telefónica Argentina Telemedicina Telemonotorización Telepatía Teletrabajo Ventajas Televisión Televisión inmersiva Televisión menos años de vida Televisores enfermedades oculares detectar síntomas Temperatura planeta Tenerife intoxicación plaguicidas fumigación Teorías alternativas Terapias infantiles robot recreativo videojuego facilidad Tercer tipo de colesterol Test síndrome de down Teste VIH detecta en Saliva Teste genético Tetris materia gris aumenta Textos memorables The Lancet Tics nerviosos Tioridazina Cáncer Tisis Titan Tokio dengue afectados Tomate cáncer próstata Tomillo cura potencial ACNE Tormentas solares Polo Sur Tornado en Ituzaingó Toxina Toyota hombres reemplazan robots Trabajo esclavo argentina Trabajo nocturno Traje patinadores EEUU fracasa Transmision habito fumar Transplante brazos Transplante riñón robot vía vaginal Trasplante hígado de varios organos China Trastorno de sueño día mundial apnea insomonio trastornos respiratorios trastornos neurológicos Trastorno del desarrollo intelectual Trastorno por Déficit de Atención e Hiperactividad TDAH adultos Trastorno por Déficit de Atención e Hiperactividad ser enfermedad Trastornos Embarazo Celulares Trastornos emocionales Trata de personas Argentina Trauma miedos sufrir resiliencia Trigo Tripofobia Trombosis venosa Trsatornos mentales Trsiteza Depresión Tsunami Japón Tu firma ayuda el cáncer Tubercolsis Mundo 2012 Tuberculosis multiresistente Tuberculosis resistente salud mundial Tuberculosis su crecimiento Tumores impedimento mitosos genétici Tumores óseos Turkmenistán tabaquismo menor mundial OMS Turquía Twitter "etiquetar" Twitter termómetro emociones Té verde U$S 2mil millones UCI depresión UNAM yodo molecular c´ncer UNL UNPFA UNT USA test medicamentos país extranjero UTPBA 24 DE MARZO MARCHA UTPBA REPUDIO Ubuntu Unicef Unicef mortalidad infantil informe Objetivos de Desarrollo del Milenio avances Unicef recién nacidos mortalidad The Lancet Unicef vacuna niños ébola 3 millones Univ. Diego Portales Universidad California Geriatric Psychiatry Estados Unidos Journal Universidad de Morón Universiu Unión Europea Utero en 3D Uvas antioxidantes acné resveratrol VIDEO JUEGO INTERACTICO AYUDA CONTRA OBESIDAD VIH EEUU células VIH contagio inmunidad VIH evolución virus antivirus proteína simios VIH fármaco macacos vaginal VIH gel transmisión VIH hepatitis C medicamento VIH medicación cura 12 años VIH proteína p21 SIDA VIH sida llamas anticuerpos inmunología VIH vacuna investigación paciente VIH virus semen protector VIH/sida VPH Vacuna Cigarrillo Cerebro Vacuna VIH Rusia Vacuna biológica Vacuna universal Vacunación reacción inmunitaria cáncer sida Valencia Varones más Vaso Vaso Sanguíneos Vasos sanguíneo impresión 3D riñones Vasos sanguíneos 3D Vasos sanguíneos sintéticos Vegetales función inmunitaria Venaslectores Vendaje Vendaje reduce cicatrices Ver diferente Ver paredes Móviles Verdurtas aceite oliva alargar vida Vergúenza ajena Verrugas genitales infección vírica transmisión sexual Viagra helado Reino Unido disfunción eréctil hombres Viajar al pasado Vicodina Vida alargar 65% ensayos ratones Videojuego Videojuegos violentos delincuencia alcoholismo adolescentes Vidrio Vidrio metálico Vientos Violación EEUU Republicano Violencia género infancia comienzo Virus Nipah tratamiento infección murciélagos India Australia Bangladesh Malasia Singapur Virus chikungunya Latinoamérica extensión Visualización Visualización Science Premios Vitamina B3 colesterol muerte riesgo Vitamina D menso Problemas en el lenguaje Vitaminas Vitiligo Vivir pareja reducción enfermedades vasculares Volcanes enemigo invisibles salud diabetes alergias bronquitis Voto Latino Voz interior Válvula de corazón Véganismo Vértigo Vínculos afectivos WIFI WIFI Afecta esperma Walking Dead WhatsApp Wifi hospitales salud mejora William Eacho Workshop X-51ª Waverider fracaso XINHUA XIV Cobgreso Argentino de Salud XVIII ENCUENTRO FAEOPAL YOGA depresión embarazo Yamila Cafrune Ituzaingó Yasser Arafat Yesos ortpédiocos Yo elegí ser Evita teatro Yoga Yogur Zaffaroni La palabra de los muertos Zinc Zoológico CABA Infierno Zoombies aZÚCAR aDICCIÓN abandono Usuario abeja veneno cáncer cobatir abejas conducta extraña humanos problemas abisnos oceánicos ablación cardíaca aborto absorben absorción absorción vitamina A aguacates tomates zanahorias acceso a la salud accesorio accidente accidente automóvil género jóvenes diferencias accidente cardiovascula rcorazón ictus sangre accidente nuclear accidentes accidentes de tráfico 3.500 mueren x día aceite aceite de colza aceite de oliva aceite de oliva protege cáncer mamas aceite de pescado aceite de pescado epilepsia convulsiones acelerador de particular cáncer acelerador de partículas aclohol acoso actiidad mental protege del Alzheimer activación inmune actividad actividad 46% actividad anti-tumoral actividad cerebral actividad física salud mental tiempo libre adultos actividad laboral vigor mental vejez acupuntura hipertensión reducción adaptacion regiones cerebrales tareas distintas adelgazan... adiccion afecta comportamiento neurológicos hallazgoso adicción cocaína terapia adicción dependencia sustancias drogas adicción redes sociales crónica enfermedad adicción trabajo rendimiento estrés ansiedad emprendedores adictos adictos internet riesgo salud virus adivinar adolescentes adicción a internet adolescentes alcohol aumento consumo adolescentes inactivos adoscentes adultos menos activos adquisición adrenalina ¿daño cerebral? adultos mayores advertencias aeróbicos afectan agenesia cerebelosa agotamiento direcciones IP agrandamiento corazón agregación proteica algoritmos bioquímica biología molecular proteínas agresividad parejas azúcar agroalimentación agrícola agua evapora suaviza calentamiento global agua radiactiva agujeros negros ahorro aire caliente ajo ajuste zapatero alas alcachofas alcohol 80 mil muertes Américas alcohol Transmisión genética padre hijo alcohol afecta mas a mujeres alcohol alcoholismo muerte 2012 millones alcohol corazón beneficios perjuicios alcohol daños neuronas moléculas alcohol respuesta ayunas alcohol tabaco menor esperanza vida alcoholismo compuesto tratamiento libre efectos secundarios alcoholismo músculos debilitamiento alcoholismo relaciona excesiva inflamación caso infecciones alejada estándar alergias respiratorias síntomas enfrentar alexitimia emociones carencia alga algodón autodesinfectante alimentación nutrición grasas salud músculos glucosa oxidación alimentos origen animal riesgo salud alivia dolor almacena almacenar alopecia areata alopecia universalis pelo vello alopecia totalis imagen calvicie anti-JAK autoinmune cabello alta alternativa altura alzheimer parkinson 3D proteínas estructura alzhéimer diagnóstico técnica alzhéimer párkinson células madre ambientes desordenados amengua amilina avances diabetes 2014 diabetes insulina tipo1 tipo 2 amistad amnesia alcohólica adolescentes ingleses amnesia estrategia CONICET UBA CYTA INSTITUTO LELOIR amniocente amputaciones miembro fantasma neurociencia analgésico dolo rnervio dolor crónico dolor neuropático fármaco analgésicos opiáceos adormideras analgésicos riesgo aborto analiza sangre analizar anatomía anchoa anciano ancianos anemia Diamond-Blackfan RPL11m MYC cáncer linfoma p53 anestesia niños 1 año memoria daños aneuploidía aneurisma menos aneurismas anfetamina anfetaminas angiogenesis anhedonia animación suspendida aniversario anorexia Francia medidas prevención control certificado médico ansiedad animales invertebrados ansiedad fóbica anstinencia antagonistas agonistas adenosina fármacos receptores proteínas adicciones antecedentes familios antena 3D antena confiable anteojos de la calle buscan prohibirlos anteojos pregraduados antes antes nacer anti-inflamatorio utili cancer de mama antibasteriana antibióticos mal uso resistencia bacteriana mundo antibióticos necesidad nuevos antibióticos nueva clase descubierta antibióticos perinatal aplicación microbiótioca alteración antibióticos resistencia bacterias peligro ciencia avances anticanrígeno saliva garrapata Brasiul ensayo anticoagulantes recetas exceso fibrilación auricular anticoagulantes verdad o consecuencia anticonceptivos orales anticuerpo anticuerpo lesión cerebral traumática antiepiléptico antigüedad antihipertensivos protección Alzheimer antihipertensivos retomar cirugía mejora antiinflamatorios aumentan riesgo aborto antimosquitos antirruido antitumoral antivárices antocoagulantes análisis análisis de sangre análisis ondas cerebrales recuerdo tiempo apertura apetito Agonistas GLP-1 atenuación apetito sexual ratones estudio dolor apirina prevención cáncer de colon sobrepeso aplicaciones aplicación celulares Wizard esquizofrenia memoria episódica apnea hipopnea sueño diagnóstico sistema apoyo a Argentina apoyo emprendedores app detección enfermedad app estado ánimo lee autismo apps detección epilepsia ictus aprender aprendizaje dormir fácil apretar la mano viir años apretón de manos revela edad educación personalidad aprueba arenas petrolíferas contaminación mayor argentina abusos policiales y legales en el sur argentina libre de humo argentino arginina metiltransferasa 5 arma armas arribar arritmia arroz arroz recalentado arterias arteriopatía periférica arteriopatías artificial artistas artitris reumatoide artritis artritis reumatoide anticuerpo humanizado Tratamiento único artrosis células madre tratamiento artículos científicos asbestos mesotelioma asbestosis amianto cáncer cáncer de pulmón prohibición uso minería asesinos de ideas asma autosugestión asma grave control nuevo tratamiento asma infantil asociados con aspirina cáncer de páncreas aspirina prevención cáncer estómago intestino asteroide astrocitos neuronas cerebro Párkinson Huntington asustarse ataque ataque cerebral atención atracción atraco atrapa violadores audifonos optimizados aumentan horas trabajo aumentar ejercicios aumento innecesario? de cesáreas aure auriculares riesgo ausencia proteína equizofreni autismo Oxitocina autismo difícil problema autismo infantil autismo inicio embarazo autismo microbio intestino enfermedades mentales autismo mitigar brotes brócoli autismo mutación genética autismo niños conexiones neuronales exceso autismo riesgo tratamiento videos autismo robots ayuda niños autismo sinapsis cerebro autismo sinapsis extra cerebro autismo spray nasal oxitocina autocontrol? autoengaño facilita comportamiento sin ética automóviles autoportadores aval avance argentino avances científicos avanzan aviación avisa avión avión espía ayunar sistema inmune regeneración celular ayuno quimioterapia ratones sistema inmune año bacteria moral bacterias autoenvenenadas bacterias aviones peligro 7 días bacterias conversión memoria dispositivo datos genómicos bacterias en anticuerpos EEUU bacterias fármacos algas corales Cantábrico bacterias genética modificación idénticas distintas bacterias intestinales clasificación enfermedades efecto bacterias obesidad causa investigación bacterias sintéticas orina diabetes metástasis bacterias vivas baja baja sarampión y rubéola bajo consumo bajo hielo bajo nivel hierro bajo peso ballena genoma ideas salud longevidad barato bares puertas base de datos base neurológica batería eléctrica baterías baterías papel y metanol beber agua beber de más bebes bebes adictos nacen cada hora bebes que duermen padres fumadores bebida bebidas alcohólicas bebidas azucaradas bebidas azucaradas riesgos advertencia bebé alimentos sólidos bebés escondidas jugar bebés expuestos bebés genéticamente perfectos posible legal bebés inmunodeficiencia severa supervivencia bebés masculino problemas mayores útero parto bebés no videntes bebés recién nacidos dolor detección software bebés risa bebés siesta aprendizaje consolida beneficio conexiones neuronales tempranas beneficios benzodiazepinas ansiedad sueño alzhéimer bicicleta a pedal bio climático biocombustible biocombustibles bioingeniería biomarcador depresión jóvenes varones biomarcadores cardiacos test pacientes urgencias biomarcadores nacimientos prematuros biomasa India biomaterial degeneración macular biomaterial regeneración estroma corneal biométricos biosenso biotecnología bisturí inteligente bloqueador adicción opiáceos bloquear bloqueo gen bloqueo metástasis cáncer mitocondrias bloqueo sanguíneo boca bolas magnéticas estimulación cerebral inhalámbrico bolsas bombardeos EEUU borachera SECUELAS INMEDIATAS boston dynamics botellón alteraciones cognitivas brazo lunares señales cáncer piel brazo robótico mente experimento breve brutalidad bruxismo fracturas dentales buena flor intestinal buena flora instestinal bueno? buenísima bulimia bulling buscan claves genéticas de la obesidad business creation business emprendimiento buueno bypass gástrico México adolescente 191 kgrs búsqueda cONTAMINACIÓN RIESGO INFARTO cabeza fumadores cabra clonada leche enfermedad congénita cacao sustancia deterioro cognitivo freno cactus cadena alimentaria cafeína beneficios perjuicios cafeína deshidrata? efectos café café adicción café agilidad mental estimulación café efectos organismo humano café fisiología humana efectos café posos antioxidante multiplica capacidad café retina salud caja reanima corazón transplante cajeros automáticos calcio arterias coronarias calentamiento global CO2 producción calentamiento global lagos desborde calidad célula proteína membrana levadura calma camas solares cambia cambiaría cambio climático cambio institucional tecnológico cambio climático cálculos renales cambio climático océanos temperatura agua aumento cambio genético cambios genéticos caminatas cortas revertir daño circulatorio sentado camino caminos campamentos campo magnético canabinoide suspensión alivia nanopartículas compresión nerviosa periférica canal 9 canales iónicos cancer desequilibrio entre genoma y ambiente cannabis efectos estrés postraumático cannabis mecanismos neuronales hambre porros cannabis separación efectos adversos analgesia cansancio cansancio ojo movimiento canta ópera extirpación tumor cerebral cantidad bebida capa capa de ozono capacidad auditiva restauración capacidades cognitivas capas capaña cara humana caracol veneno tratamiento dolor caracoles caníbales carbones activos carbono cardiomiopatía dilatada genética alteración canales iónicos cardiopatía congénita infantil causa cardiopatías previene caminar cardiovascular cardíaca cardíaco carencias carme aumenta riesgo diabetes 2 carne roja muerte prematura cáncer arteriopatías carnes rojas carozos cartílago cartílago articular regeneración células madres casi humano castigo catalizador de hidrógeno cateterismo causa genética causas caza de cauquenes caído cebolla cebollas ceguera células madre celiacos arroz arsénico celiaquía centrales nucleares en problemas centro procesamiento habla Cerebro cepa bifidobacterias antiinflamatoria células intestinales cepas resistentes cerdo cerebrales cerebro hiperconectado Generación Z Olivier Houdé cerebro humano laboratorio EEUU células piel Rene Arnand Ohio cerebro suspenso Alfred Hitchcock atención. cisura calcarina cerebro variaciones genéticas volumen hallazgo conducta memoria emociones cerebro acidez ansiedad cerebro al desnudo ejercicios memoria cerebro cirugía párpado cerebro conexiones red ideal cerebro creatividad decisiones cerebro despierto células cerebrales cerebro dormir postura mejoras cerebro empático cerebro escaneo óptico infrarrojo cerebro glutamato energía cerebro hombre mujer diferencias cerebro humano leyes de la física funcionamiento cerebro humano su formación cerebro imágenes comportamiento futuro cerebro información registro dónde cuándo cerebro medición tiempo paso cerebro más grande cerebro reacciones impulsivas cerebro reacción muerte cerebro región conciencia despertar cerebro rejuvenecimiento proteína cerebro sano cerebro simulado cerebro sistema linfático conexión cerebro tamaño inteligencia indiferencia cerebro zurdo diestro cerebro único cerebros donación Alzheimer cerebros dotados cesáreas riesgo alergias bebés cesáreas salud negocio? challenge microscopía fluorescencia CIMA Navarra chaqueta chicle resaca contra chicos obesos chikungunya epidemia Puerto Rico EE.UU. alerta chip anticonceptivo control remoto chip cerebro humano funcionamiento imitación chips desarrollo diagnóstico Argentina chocolate obesidad ciberes apneas ciber diagnóstico cicatrices ciclo de la luna ciclos de luz ciegos ciemìpés secuencia genética ciencia del carbón ciencia depresión ideas cambios ciencia tecnología científicas científicos científicos EEUU tratamiento tumor glioma difuso niños cigariilos cigarrillo electrónico 5 y 15 veces más cancerígeno tabaco cigarrillo electrónico fumadores jóvenes nuevos cigarrillos electrónicos cigarrillos electrónicos dañinos adolescentes fetos cigarrillos electrónicos lucha daños pitar cigarrillos electrónicos marihuana 'vapear' cigarrillos paquete neutro reducción consumo cigarros electrónicos rechazo producto médico cine circuito cognitivo circuito integrado circunsición riesgos neonato cirugía cardíaca cirugía cataratas prevención astigmatismo miopía cirugía facial reconstrucción material autoiadaptable cirugía genoma humano cirugía ocular infecciones causas cirugía reconstructiva robótica cirugía robótica transplante riñón Europa cirugía tumor maqueta 3D cirujía bariátrica cambios apetito gusto cirujía hernia malla cirujía no clave masculina clientes clonadas clonar células adultas crear células madres cobre antimicrobiano cobustibles sintéticos renovables cocaina EEUU Centroamerica cocaína adicción fármaco reprime cocaína adicción neuroimagen cerebro cocaína consumidores 19 49 años muerte súbita cocaína corazón efectos invisibles tiempo cocaína gen adiccion coccidioidomicosis coche inteligente cocina no emisiòn CO2 coco codificación facial coeficiente intelectual mujer coin colesterol cerebral aprendizaje memoria colón irritable dolor tratamientos eficacia combatir tabaquismo otras adicciones combatirla combinación combinados comen microbios comer bien salud comer engordar rapidez comer frutas y verduras comer lento comer pescado volumen cerebral comida apetitosa da hambre comida como adiccion comida rápida comidas como entendemos compasión inteligente compatibilidad competencia competitividad complejidad complementos dietéticos conmociones cerebrales componente comportamiento genético en juicios morales compra compuesto natural compuesto vegetal compuestos fenólicos cebada cerveza compuestos químicos computación comunicación comunicación celular comunicación directa máquinas salud tranformar comunicación social radios común conciencia humana muerte duración condena condicionan conducta alimentaria conducta excesiva UNED psicología impulsividad hiperactividad conducta niños conducta riesgosa conductas arriesgadas actividad cerebral conductoras conectado conectividad cerebral música recuerdos conectoma genes cerebro conexiones conexión conflictos entre bacterias biofilms resistencias congelación congreso cubano cardiología 2014 conjunción planetaria conocimientos acumulación cerebro lesiones soportar conotrabando anteojos y otros consciencia consciencia anestesia cerebro consciente consejo nutricional Ejercicio balance energético conservado conservante natural mata bacteria consolarse comparandose con otros construcción consulta médica consultas virtuales 100 millones 2014 consumo té café corazón no perjudicial contacto contagio contagiosa? contaminación ambiental contaminación bacteriana contaminación del aire contaminación sonora sistema inmune afectación contaminación vertido petróleo contaminados contienen contra natura control cambiario control sistema inmunitario controlar controlar venta anteojos de la calle convenio convenio atención adicciones copa copia ADN cáncer? copy&paste corazones corazón pulmones tórax cigarrillo ejercicio Día Mundial del Corazón AAMR corazón arritmias corazón desornedado corazón enfermedad cardiovascular colesterol corazón envejece antes cuerpo corazón infartado reperfusión protección terpeno corazón infarto stent corazón investigación origen desconocido corazón operación corazón y actividad física coronilla correo electrónico correr diario beneficios correr esperanza vidad corteza cerebral tabaquismo delgadaqanormalidad declive cognitivo corzón cosméticos cosquillas costos costosa coágulos sanguíneos crados creación empresas crean empleos? crear creatividad mayor paseando crece Drogas consumo mujeres crece esperanza de vida crece pago ganancias crecimiento órgano completo células manipuladas laboratorio cribado universal criopreservación sangre transfusiones criptococosis crisis crisis económica crisitinaos vegetarianos? cristal cristal extraterrestre Rusia cromosa armado científicos cerveza levadura cromosoma Y masculino cruce datos crueldad crímenes cuatro nuevas proteínas cuerpo biología común cuida la piel cuidado cuidados cuidados obstéricos especiales cultivos cumbreclimática cuotas cura cáncer cura diabetes cura funcional VIH bebé EEUU tratamiento antirretroviral curiosidades curita biodegradable cuándo? cvirugía infección ocular causas cáncer ayuno mejora cáncer células enfermas metástasis captura precoz pruebas animales cáncer implante esternón prótesis cerámica Francia cáncer informe OMS IARC mortalidad países en desarrollo incremento hábitos envejecimiento cáncer leucemia mieloide crónica imatinib células cáncer pulmón muerte países ricos mama cáncer CNIO ratones ensayos clínicos vitamina cáncer alcohol avance lucha cáncer alcohol tabaco consumo cáncer alzhéimer párkinson esquizofrenia cáncer causa muerte cáncer cervical análisis orina detección cáncer colorrectal terapéutica nueva estrategia cáncer cronicidad 20 años cáncer cuello cáncer cáncer de mama avispas cáncer de cerebro cáncer de colon proteína cáncer de estomago cáncer de estómago Helicobacter pylori cáncer prevención cáncer de mama sangre análisis cáncer de mama ejercicio físico estudio beneficios cáncer de mama ejercicios físicos prevención cáncer de mama hormonas entendimiento cáncer de mama origen celular identificado mutación gen PIK3CA cáncer de mama prevención reflexión sensibilizaciónj cáncer de piel fármaco cáncer cáncer de piel cáncer fármaco esperanzas cáncer de pulmón metástasis esqueleto bioinformática cáncer de pulmón nueva investigación cáncer de páncreas detección precios orina análisis cáncer deporte ejercicio obesidad OMS cáncer detección precoz border collie perro cáncer diagnóstico molecular Chile cáncer diagnóstico molecular proyecto Chile cáncer ductal de mama vías genómicas cáncer fármacos escape mutaciones cáncer gen pulmón riesgo cáncer hígado amiodarona arritmia cáncer ictus riesgo cáncer infantil tratamientos personalizados cáncer inmunoterapia metástasis vejiga cáncer investigación trascendencia cáncer laringe gen cáncer lucha aportes cáncer mama cáncer mama agresivo guía cáncer mama alcohol embarazo cáncer mamas cáncer mamas hombres cáncer medicamentos evasión estudio cáncer menos muertes cáncer metodología computacional cáncer moléculas inorgánicas tratamiento cáncer pancreas cultivo en 3-D cáncer pancreático cáncer piel cáncer próstata gen resistencia cáncer próstata perros olor cáncer próstata revisación cáncer pulmonar catástrofe mundial cáncer pulmón hombres cáncer pulmón mujeres doble cáncer pulmón sin quimio cáncer radiación trabajo central nuclear cáncer renal genes alteración cáncer ritmo circadiano reloj biológico cáncer terapia evolución especificación eficiencia cáncer tratamiento nuevo esperanza cáncer tumores cerebrales cánceres cáncr célula célula artificial célula intestino células T cáncer linfocitos mutación células asesinan protección células cancerosas células autoinmunes células cancerosas células cancerosas atracción muerte células cancerosas detección filtración sonido células cardiacas contracción ritmo luz células cardíacas contraen con luz células cardíacas parentezco fibroplastos cardíacos células de la piel células cerebrales células de piel en las del cerebro células división meiosis reproducción cromosomas plantas ratones ADN células fábrican riñón humano células gliales células híbridas células nerviosas células madre "reset" células madre magnetismo hierro cartílago rodilla operación Japón células madre ojos implante visión retina células madre contenedores células madre daño cerebral reparación células madre dientes tejido óseso células madre grasa potencial repara función cardíaca células madre grasa reparación función cardíaca células madre hematopéyicas células madre intestino comportamiento células madre liposucción tejido cardíaco regeneración células madre músculo cardiaco infarto rapara células madre neurales generación transplantes células madre nuevo método células madre piel tejido óseo células madre rejuvenecer músculos células madre trasplantes esclerosis múltiple células madre tumorales fluorescencia células madre umbilicales células madrepluripotentes células microgiales células normales fusión “catástrofes genómicas” cáncer células piel hígado transformación células progenitoras implantes neuronas lesionadas células sangre células sangre pacientes infarto corazón corazón dañado células vida secreta instrumento córnea del ojo células madre muelas del juicio regeneración córnea elasticidad técnica imagen sonido córneas artificiales córneas regeneración córneas regeneración completa células madre da Vinci daltonismo dicromatismo colores visión percepción daneses felicidad genes danza datos curiosos darpa datos genéticos venta dañina dañino? dañinos? daño cardiovascular daño medular tratamiento de lo ambiental de mama de pie no sentado debilidad decidir declaración declive cognitivo decomisos millonarios en rutas dedo defensa fondo marino defensa infecciones comunes defensa molecular defensas cuerpo degeneración macular degeneración macular crecimiento soluciones dejar de fumar dejar de fumar embarazadas órdenes de compra estudio Escocia dejar fumar estado anímico mejora dejar hábito delicado delta inundación ricos países demasiado demencia riesgo medicamentos comunes democratización democratizar el conocimiento demonio denuncian depredadores depresion cerebro encoge depresión avance tratamiento depresión diagnóstico falta depresión diana terapeútica nueva depresión juvenil señales detección depresión jóvenes búsqueda predicción depresión olvidos derecho derechos derrames desactivar genes desarrollan desarrollo cerebro desarrollo cerebro infantil desarrollo empresarial desarrollo lenguaje desarrollo neuronal desarrollo sináptico desastre descanso corazón salud descifrado descifran descifrar desconectado desconectarse desconocido desconsideración telefónica desde el conurbano desechado? desechos plátano crecimiento plantas acelera deseos desequilibrio enérgetico desfibrilador deshielo del Ártico altera migración aves marinas desigualdad desmentida desmezuras desnutrición desocupación desorden despenalización marihuana Sacerdotes para las Villas destruir destruye destruye cerebro destruyen relaciones deteccion precoz enfermedad renal detección enfermedad detecta ataques detecta lunares detectar detectar cerebro recordar imagen detector detener deterioro cognitivo vocabulario demencia cerebro detiene hemorragias devolver dia mundial de los humedales diabetes 1 diabetes 1 insulina inteligente ensayo inyección ratones diabetes ancianos medicación exceso diabetes bebés prevención diabetes canela tratamiento diabetes clonación humana diabetes cáncer páncreas vinculación diabetes células metamorfosis insulina diabetes evolución ser humano vulnerabilidad diabetes hipoglucemia páncreas artificial tipo 1 diabetes insulina degradación diabetes mellitus 2 alzheimer diabetes mujeres más jóvenes eventos cardíacos vulnerabilidad diabetes prevención juventud diabetes proteína tejido adiposo diabetes tatuaje glucosa monitoreo diabetes tipo 1 diabetes tipo 1 "Páncreas biónico" iPhone diabetes tipo 1 insulina generaicón diabetes tipo 1 y 2 3 millones niños adolescentes EEUU diabetes tipo 2 molécula tratamiento diabetes tipo 2 tratamiento nuevo diabéticos cirugía corazón empeorar diabéticos en 2 años diagnóstica en 3 segundos diagnóstico riesgo vascular fondo de ojos diana cáncer hígado colon combate diana tratamiento inmunodeficiencia dibates 90% evitable hábitos saludables dibetes tipo1 reprogramación celular resultados dientes 3D antibacterianos dientes de tiza dientes genetica manipulación ratones dieta comida fármacos bacterias dieta equilibrada dieta ingrediente alimenticio apetito sacia dieta saludable dieta sana riesgo disminución parto prematuro dieta vegetariana baja presión arterial dietas ayuno buenos resultados dietas culto irracional dietas depurativas dietas depurativas 'detox' ineficacia dietética diferencias sexuales diferente diferentes dilema moral directrices discalculia discusiones padres diseñador disfrute? disfunción eréctil insuficiencia cardíaca disfunción eréctil inversión medicamentos disfunción sexual dislate disminución disminuir disminuyen dispositivo evita borrones microscopios superresolución dispositivo imitación pulmón precisión dispositivo magnético dispositivo mareo vuelo evitar dispositivo meningitis bacteriana bebés detección dispositivo portátil análisis transmisión resultados móvil dispositivo óptico para auto-observarse la retina dispositivos dispositivos médicos distancia distinguen distrofia muscular de Duchenne distrofia muscular método células diverticulitis diverticulitis síntomas ataque agudo diámetro abdominal mayor riesgo varones dióxido de carbono alimentos nutrientes carencia doble mastectomía innecesaria mayoría doble mastectomía prolongaría vida documental dolor craneofacial herramienta valorar dolor crónico mecanismo dolor estilo de vida altera dolor inyecciones temperatura dolor neuropático morfina dolores de espalda lumbares discapacidad invalidez trabajo donantes donantes escasos dopaje cerebral dormir de más engorda dormir horario cambios drásticos potencia mentalreducción dormir luz costumbre dormir menos riesgo resfrío dormir muerte prematura -6hs dormir más dormir siesta salud positivo dos proteínas droga contra la obesidad drogas erradica drogas múltiples consumo conducir muertes dudas duelo resignación aceptación déficit déficit atención posible muerte prematura déficit hierro riesgo ictus día alimentación salud seis raciones cereal día del cáncer día mundial de la salud mental e-book eBook utilidades básicas eEF2K ePIDEMIA GLOBAL DISCAPACIDAD ecocardiografía ecografía óptica tumor cerebral mapa ecuación predice edad cardíaca edad cronológica EEUU no coincidencia edición genómica "NIÑOS BURBUJA edición genómica leucemia edison editan edredondes educación edulcorantes artificiales dudas efectividad efecto placebo efecto ver caricias sensuales efecto óptico Galileo neuronas ojos efector protector de hormonas femeninas efectos sobre obesidad casados y/o divorciados ejercicio antidepresivo ejercicio combate depresión ejercicio día salud vida ejercicio exceso salud perjuicio ejercicio físico moderado ejercicio físico reemplazo píldora ejercicios cerebro joven ejercicios obesidad apnea del sueño el Genoma del Denisovan el campo de lewis el tiempo pasa electricidad electricidad fotosíntesis ingeniería genética electrónica orgánica elementos esenciales eliminación copia extra eliminan elogio del imbécil embajador embajador USA embarazadas embarazo adolescente embarazo adolescente hijos emocionales embarazo lactancia tamaño cerebro embarazo muerte más femeninos embarazo mujer violencia maltrato embrionarias embrión fecundación in vitro emocionalemnte estable corazón sano emociones negativas emociones negativas refuerzan recuerdos empatía límite estrés desconocido empleafos empresa empresarios empresas farmacéuticas tabacaleras castigo en CABA en TDAH en cualquier cantidad en español en retirada? en vivo encontrarlas encías sanas endometrio óvulodonación embarazo genética endorfinas bronceado obsesión enemigos energizantes energía dipositivos médicos cuerpo interior inhalambrica energía eólica energía viable energías limpias solar fotovoltaica enevejecimiento enfemwdad cardiovascular enfermeda de Crohn enfermedad Creutzfeldt-Jakob enfermedad cardíaca enfermedad cardíaca metabolismo graso detener enfermedad de Crohn duchas enfermedad den Crohn enfermedad mental detección temprana enfermedad reñal prevención Díal del Rinón reglas vida sana enfermedades piel Sociedad Argentina de Dermatología prevención verano enfermedades autoinmunes tratamiento enfermedades cardiovasculares mujeres Día Mundial mitos mortalidad enfermedades cardíacas transplantes corazón enfermedades cognitivas detección rápida enfermedades derivadas enfermedades mentales enfermedades mortales enfermedades no transmisibles enfermedades psicológicas enfermedades raras anemia enfermedades raras farmacopea sintomática enfermos mentales adicción tratamiento enfermos mentales violencia adicciones enfisema pulmonar fumador pasivo infancia enfoque engorda engordan ensalada de fruta verduras papas fritas ensaladas presentación salud enseñanza entorno bilingüe aprender con facilidad entorno kgrs demás entre las más limpias del mundo entrenamiento entrenamiento aeróbico entrenamiento músculos respiratorios ictus protege entrenar enuresis nocturna envases envejecer dependencia género envejecimiento prueba sangre genes edad biológica enfermedades neurodegenerativas Alzheimer envejecimiento cognitivo trabajo nocturno desfasaje envejecimiento longevidad enfermedades cardiovasculares polimorfismo envejecimiento microbios metabolitos lucha envejecimiento prematuro estrés poco sexo envejecimiento reversión ratones humanos? enviudar tercera edad buenas amistades beneficios enzima adictos cocaína mejora enzima fidgetin epidemia epigenoma humano mapa epigenética cáncer linfocitos sistema inmune células epilepsia ataques sistema detección epilepsia aulas escuela vida aprender epilepsia infantil grave episiotomia epitelio limbar células madre erradican basurales Matanza escaneo mujer obesa delgada masa corporal esclerosis lateral amiotrófica esclerosis múltiple avances tratamientos esclerosis múltiple tratamiento nuevo esclerosis múltiple vía tratamiento nueva escribe escribir escritura escuchar escándalo escáner cerebral traumatismo residuos tóxicos escáneres esfínter espacial espasmos dormir antes espasticidad españoles especie humana desconocida especie inteligente mayor espejismo esperanza de vida esperanza de vida mayor calidad salud mal espermatozoides espermatozoides humanos in vitro espina bífida fetos cirugía prenatal endoscopía espumas de grafeno crecimiento celular energía baterías espía esquizofrenia causas genéticas esquizofrenia cerebro resonancia magnética esquizofrenia diagnóstico fondo de ojo esquizofrenia niño 8 años cirugía esquizofrenia ojo retina diagnóstico esquizofrenia psicosis células inflamación linfocitos esquizofrenia trastornos genéticos est ébola japón virus 30 minutos investigadores Japòn estación nacimiento trastornos depresivos estado vegetativo reconocimiento rostros seres queridos estadísticas vuelos accidentes búsqueda estar en forma tareas domésticas alcance estatinas estenolagnia estilo de vida estimulación estrabismo estragos estrategias manuales estrellas estructura cerebral comportamiento riesgoso predicción estructura cerebral riesgo economico estructura cerebro estrés alegría Mundial 2014 corazón infarto muerte súbita cardiólogos chequeos estrés anisedad dieta estrés corazón beneficios ejercicios estrés cronico Alzheimer estrés hormonas cáncer mama negatividad estrés infantil trastornos ansiedad microbiota intestinal estrés postraumático estrés resistencia Alzheimer envejecimiento prematuro estrés social obesidad abdominal estrías estudio SPRINT; NIH; hipertensión presión arterial valores estudio genómico estudios cardíacos mundo real pacientes estupro legal estómago humano esófago artificial ratones trasplante ingeniería tisular esófago formación células eterna juventud fuente sangre eutanasia evaluación evaluación genética evaluar evita infecciones evitar evoluciona exceso testosterona dificultad lenguaje excremento de bacterias exigencias existencia exoesqueleto lesiones modulares expansión experimento experimentos animales explotacion de indocumentados ne campos explotación exposición embarazada contaminantes determina peso bebé extensión extinción extra horario extracción extracto arándano combate infecciones urinarias bebés lactantes extraer extraño extremidades biónicas progreso tecnológico eyaculador precoz spray fIBRILACIÓN AURICULAR fabrican facilidades factor crecimiento protege efectos neurotóxicos drogas factores genéticos esquizofrenia cien facultades mentales falla falla cerebral fallos falsedad falsificación medicamentos falta falta de cansancio fantasma robot esquizofrenia percepción cerebro fantasmas presencias sentir soledad fantasía faringoamigdalitis fatiga crónica anomalías cerebrales fatiga noche sin dormir fecundación feromonas exogénero olor hormona fertilidad fertilidad ovario resveratrol fertilidad semen calidad edad fertilización in vitro tres padres embriones enfermedades hereditarias ADN mitocondrial festival metalero feto pulmones controla pulmones fiable fibra consumo corazón infarto riesgok baja fibras fibras artificiales cerebro comunicación fibras naturales fibrilación auricular no tratada fibrilación auricular técnica nueva ablación fibromialgia fibromialgia patente dolor crónico ratón fibrosis hepática hormona fibrosis pulmonar fibrosis renal fibras de colágeno Snail CSIC fiebre del valle fijación filtros de cigarrillos prohibición daño ambiental intenso filtros de neuronas filtros solares adolescentes uso belleza fipan Kalydeco firmas fisiología cerebral sujetos normales estudio Portugal flavonoides hipertensión manzanilla flora intestinal flores fluorescentes pigmentos clínicas aplicaciones fobias fobias se superan$ folículos fontanarrosa forenses forma formas geométrica fotosíntesis fracaso fracturas tornillos seda frecuencia frecuencia cardíaca frena frenado frenan desarrollo freno a los fondos buitres fresas silvestres raíces hojas nutritivas antioxidantes fruta genética genes transgénicos biotecnología OGM CRISPR frutas y verduras frutos secos fuera del cuerpo fuga radiactiva fumador concepción asma bebé fumadores fumadores enfermedad cardíaca más jóvenes fumadores pasivos fumar propaga cáncer fumar arterias daños fumar provoca ceguera fumar tabaquismo equizofrenia funciona funciona fuera del cuerpo función cerebral fundamental funguicidad fusión nuclear EEUU laboratorio nuevo hito fácil fármaco reducción riego muerte cáncer mama fármacom para Monos Gordos fármacos cáncer de colon fármacos cáncer médula ósea fármacos edición genética CRISPR cáncer fármacos sueño reguladores férula traqueobroncomalacia impresión 3D tráquea biomaterial fórmula fósil gafas de soló ptica salud visual gafas electrónicas botón graduación gafas realidad virtual herramienta futuros médicos gafas visión piel a través galpones hermetizados producción vegetal Japón Toshiba galvanotaxis células electricidad trabajo ganar gays gel vaginal HIV contagio 50% gemelos EEUU nacimiento 24 días diferencia gemidos femeninos tactica sexual gen neuronas desarrollo gen EGFR cáncer de pulmón avance gen FLC muerte súbita miocardía hipertrófica gen asociado gen conexiones neuronales demencia esquizofrenia gen del guerrero gen demencia prevención gen lunares cáncer de piel evitar gen maestro control sueño gen obesidad generación libros wikipedia genes cancerígenos genes conducta femenina masculina genes cáncer próstata supresión genes medida Crispr AstraZeneca genes órganos cuerpo humano actividad genoma Argentina análisis online genoma U$S 1.000 secuenciar genoma bacteria análisis 15 minutos genoma cáncer leucemia linfática crónica célula genoma humano gráfico genoma hurón enfermedades pistasrespiratorias genoma menstruación menarquía estadística mujer genoma secuenciado pino taeda genética alcohol adicción genética corazón aurícula genómica geología geotermia germinar gimnasia errores gimnasia mejor mujer que hombre corazón ginecología virus papiloma mujer glaciar pierde 300.000 millones de toneladas glaucoma film bioadhesivo glaucoma film ocular boadhesivo glifosato OMS IARC probablemente cancerígemno glucosa medición saliva glucógeno hepático hígado apetito conexión gluten gobierno argentino promuve turismo médico gobierno del CABA suspende proteccion menores golpeadas gorgojoterapia Perú antioxidante gota 'inteligente' gota sangre granja alergias asma polvo grano granos enteros comer corazón salud grasa corporal grasa corporal dos moléculas reducción grasa de pescado grasa mala en buena estudio grasa oculta grasa parda grasas nutrición sexo cerebro alimentación ratones grasas vegetales gratitud corazón mejora gratuito grietas gripe variaciones genéticas vacunas efectividad gripe virus 1918 pandemia gripe. 5 años guerras guias guisantes digestión proteínas CSIC gusano cerebro hombre vivo gusano marino sangre potencia 50% más potente guías género habla hacia dónde hallazgo planetario hallazgos hambre hasta los 6 meses hay vida helicòpteros hemisferios hemofilia Internet de las cosas monitoreo hemofílicos profilaxis artropatía hemorragia gastroinstentinal hepatitis hepatitis B OMS "pandemia" hepatitis C nuevos tratamientos hepatitis día mundial salud cáncer OMS hereditaria hereditarias hereditario herencia herencia biológica humano bacterias herencia genética enfermedades congénitas genoma ADN cáncer enfermedades raras pediatría BRCA1 BRCA2 herencia materna heridas borracho cura tiempo heridos hermano psicosis infancia trauma hermanos heroína anulan su efecto herramienta eSalud políticas estrategias herramienta interactiva cesación tabaquismo hidratos de carbono alimentación dieta grasas hidrógeno hierba medicinal artritis reumatoidea fármaco hierro en sangre hijos hijos antisociales hijos crianza legado límites hijos más sexies hiperactivos hipercolesterolemia hipercolesterolemia colesterol bajar hiperconectividad hiperinsulinismo congénito bebés hipertensión enfermedad autoinmune presión arterial Australia Universidad de Monash hipertensión arterial pulmonar tratamiento hipertensión delgados obesos hipertensión desvastadora efectos hipertensión magnesio reduce hipertensión nuevo método control desarrollo hipertensión vacuna hipnosis discusión ciencia magi histonas historiales médicos hombre memoria corto plazo twitter sustituto hombres arriesgan más hombres jóvenes riesgo conducción mayor autos hombres salidas comida bebida positivo hombres y mujeres ven distinto home homeopatía homologa horarios horarios de luz ritmo circadiano cáncer obesidad ratones horarios irregulares hormigas rojas hormona del estrés inestabilidad económica relación? hormona ejercicio físico reemplazo hormona embarazo combate timidez hormona tiroidea hormonas microbios hormonas miedo equilibrio hospitales hospitales robos aumento información hostilidad huella huella cerebral huella metabólica hueso creado Células madre hueso crecer transplantar hueso regeneración tejido óseo semillas huesos huesos artificiales huesos dañados huesos regeneración científicas argentinas huevo crudo huevo móvil humaniza humano alimentación selección humanos humanos prehistóricos hervíboros humanos y 96% descienden de animal sexto sentido hummm humor humor productividad personas aumento hydras regeneración Biólogos biología hábitos hígado cerebro diabetes apetito obesidad hígado graso alimentación obesidad comida chatarra vida sana jornadas A.A.E.E.H. iKnife iNDUSTRIA AUTOMOTRIZ MAYOR CONTRIBUCIÓN IMPOSITIVA iPad 3 iPhone ibis ictus hemorrágico células madre reparación ictus ácido úrico accidente cerebrovascular trombo identificación identificado identifican igual iinformación imagen imagen molecular nanopartículas teranóstica imanes imitación imitar imparable imperfecciones impermeabilizante implante 3D traqueobroncomalacia cura implante cerebral mente hablar implante cerebral ordenador control implante disco intervertebral implante ocular implante recuerdos mente implantes auditivos avance implantes cerebrales pequeños duraderos implantes cerebrales recuerdos restaurar implantes cocleares sonidos mejoras implantes flexibles paralíticos andar implantes inyectables mapeo cerebro ayuda implantes mamarios importante impresión 3D cirugía vascular China impresión 3D corazón humano posible impresión 3D gasto sanitario reducción impresión 3D nervios dañados regeneración impresión 3D piel cultivo ingeniería cutánea impresión 3D transplante de cara impresión 3d impresión cuerpos? impresora imprimir tinta viviente transplantes tejido impuesto impuesto a las gaseosas impuestos tabaco efectos saludable tabaquismo impulsividad niños cerebro conducta TDHA imputabilidad atajo 2008 imágenes holográficas 3D incendios incendios salud respiratoria niños agravamiento incial inclusión incontinencia urinaria yoga incrementa increíble incubadora neonatal bajo coste incumplimientos individualidad ineficaz infame infarto 10 nuevas características gebéticas infarto depresión reinfarto infarto miocardio reparación infartos enfermad cardiovascular salud chocolate dieta ictus infecciones resistencia antibióticos infertilidad terapia celular células madre espermaratones inflamación cerebral mediadores claves cerebro inflamación sistema nervioso síndrome fatiga crónica influencia información información espacial información importancia medicamento efecto informatizados ingesta ingesta de polifenoles ingnorancia inhibe iniciativa emprendedora inicio injusto inmediato inmigración inmigrantes inmunitario inmunizar inmunología inmunosensor inmunoterapia cáncer inmunoterapia cáncer linfocitos innecesarios innovación actitud creativa reflexiones innovación creatividad Pamplona insomnio nutrientes alimentos insomnio parasomnia acciones fenómeno misterioso inspección instentinos instrumento insuficiencia cardiaca insuficiencia cardíaca insuficiencia cardíaca espina dorsal estimulador insulina flexible toma intacto intelectuales papers hacedores inteligencia artificial inteligencia artificial Stephen Hawking desarrollo raza humana fin inteligencia artificial en paleontología inteligencia artificial personas dependientes seguimiento inteligencia corteza cerebral inteligente inteligentes intercambios interesante investigación neurología salud internet de las cosas internet de las cosas masificar interrupción interruptor interruptores intervención neurorreflejoterápica intervención ojos ceguera tecnología interés intestino irritable causa orgánica intestino irritable diarrea microbiota intestino irritable. asociación intolerancia alimentaria intolerancia error culpa cultura sobremedicación sobrediagnóstico intoxicación intravenosa intuición racional? intuición testosterona inundaciones invasión investigación investigación biomédica gusano microcópico Caenorhabditis elegans investigación científica BBC investigación genética rechazo transplantes investigación oncología tratamientos investigador Ginés Morata humano manipular genéticamente propia especie investigar invulnerable inútil riesgos inútiles irreconocible izquierdo jet-lag obesidad diabetes joven muerte videojuego World of Warcraft juez Rosanski Cámara diputados respaldo jugadores jugos industriales juguetes er{oticos actividad sexual justicia democrática jóvenes internet consulta salud ketamina depresión efecto la mejor la nueva maravilla la padecen la tierra laberinto laboratorio evolución lactancia lactancia materna lactancia materna disminución leucemia infantil lados lana vieja lasagnas latido lavadora plegable leche de vaca leche materna autismo reducción riesgo leche materna cáncer de mama antídoto tumores Conicet leds leer inteligencia influencia causal leishmaniasis humana lengua argentino hablar lenguaje alteraciones equizofrenia lenguaje cerebral descifrar investigación lenguaje ictus niños lente lentes contacto prevención degeneración retina luz lentes biónicas lentes de contacto "inteligentes" Google Novartis lentes inteligencia artificial invidentes lentes nueva generación lento lesiones cerebrales lesiones medulares terapia nueva lesiones posturales lesión lesión cerebral traumática proteína generación lesión medula rneurociencia mielina esclerosis múltiple lesión pulmonarejercicio físicorespiraciónsíndrome de dificultad respiratoria aguda letalidad toxinas bacterianas leucemia anticuerpo artificial combate leucemia infantil tratamiento esperanza leucemia mieloide crónica mutación genética leucemia mutaciones vinculación crecimiento desorden levantarse bien bienestar ley nacional liberación libre libro sobre genios de la humanidad libélulas liceos militares limpieza linfoma lingotes romanos llegará? llorar lluvia locura longevidad gen mutación los sentidos low cost lupus vegetales tratamiento luz blanca luz infrarroja luz medicamentos daño cáncer efectividad tratamiento luz nocturna azula luz solar luz y nanotecnología láser láser endodoncias fin límites líquidos lóbulos parietales Paleoneurología cerebro cráneo Homo sapiens mOSCAS MATAN ABEJAS macrófagos pelo regeneración piel cáncer sistema inmune madres madres deprmidas madres promiscuas magnesio endurecimiento vasos sanguíneos prevenir mal de chagas mal efecto mala mala alimentación salud mundial hambre sobrepeso malaria Artemisina planta china cura malaria detección campos magnéticos malaria lucha combatir malaria mosquitos modificación genética malaria nuevo fármaco parásitos estallen maldición males mentales malformaciones congénitas malnutrición severa malo malos hábitos mamar mamas mamografía 3D prevención mejorada mamá manipulación manipulación genética riegos manipular virus mano impresión 3D niño Francia mano prótesis piel artificial sensibilidad manos biónicas Australia control mente manos transplantadas cerebro recuperación sensibilidad mantiene vida manzanas manía maníes cacahuetes frutos secos prevención cardiovascular enfermedad mapa cerebro genes conexiones neuronales autismo trastornos psiquiátricos trastornos neurológicos mapa corporal mapa relaciones enfermedades Dinamarca mar marcapasos autoenergía marcapasos internet conexión marcapasos nanotecnología Colombia diseño mareo marfil marginación región cerebral marihuan discusión marihuana Skunk consumo psicosis marihuana daños marihuana dolor malestar cáncer marihuana paranoia marisco mas hombres masa corporal masajes mascarilla ébola virus infección contagio mastectomía mata mata células matar materia alimentaria captura dióxido de carbono materia estado de plasma esterilizar agua materia oscura material material genético materiales biodegradable agricultura y envases materiales radiactivos detección agua centrales nucleares matrimonios duración mayor incidencia mayores sueño problemas reversible maíz centeno arroz cebada mecanismo celular hipertensión pulmones zinc terapias mecanismo cerebral mecanismo cerebral descubren mecanismo molecular controla mecanismos medalla Fields matemáticas Nobel premio mujeres Adrián Paenza medicalización de la sociedad medicamento bacteria farmacorresistente medicamento cáncer natural 2 años medicamentos antifbreles medicamentos diabetes efectos disminución obesidad medicamentos dosis automatizada medicina ciencia cirugía implantes - cráneo impresoras 3D medicina futuro? medicina genómica predicción salud enfermedad medicina modelo biónico medicina regenerativa linfoma macrófago leucemia linfocito reprogramación células madre medidor medidor glucosa medidor láser azúcar medioambiental medioambiente meditacion mejora salud medusas invaden mares mefedrona drogas recreativas cambios peligros mejor estado cerebral mejor forma física mejor sueño mejora corazón mejora tratamiento mejorar mejoras mejoras considerables melanoma corteza de pino fármaco sustancia melodía cerebro huella conocimiento membrana cerdo lesiones musculares membrana infecciones digestivas México memoria amplificador problemas cerebrales memoria neuronas memoria profesiones memoria reescribe pasado memoria rostros memoria y observación memorresistores meningitis por hongos menor menor paro menores de edad menos depresinón menos 40 años menos Alzheimer menos Asma infantil menos dificultad menos empleo menos hombres menos peso menos radiación mentales mente mente controla salud enfermedad mentira mestizaje atractivo físico mayor metabolismo celular metales tóxicos metanfetamina adicción Parkinson riesgo elevado meteorito metodología vacunas desarrollo metástasis metástasis dispositivo de microfluidos mezcla miR-7 cáncer cáncer de estómago Helicobacter pylorimicro ARN microalga amonio asimila residuos agroalimentarios microalgas antibióticos naturales investigación microarrays microbicida VIH detención transmisión microbio microbioma microbios vivos microbiota antibióticos prematuros microbiota intestinal obesidad microchip microcrédito microorganismo marino microorganismos intestinales interacciones enfermedades autoinmunes microorganismos intestinales salud enfermedad miden mielina regeneración mieloma múltiple miembros superiores migrañas aerosol nasal Prochloperazina miles minicorazón funcional sangre venosa miniestómago células madre estudio enfermedades gástricas minirriñones miomas uterinos miopía mirar TV misma imagen manera diferente mitocondria oxígeno alimentación azúcar grasa modelo modelo funcional 3D tejido cerebro modelo virtual Dassault Systèmes corazón 3D cardiovascular modelos matemáticos modelovirtual modifica ánimo molecular molestia molécula crítica molécula fluorescente células tumoral tratamiento molécula sintética insuficiencia cardíaca momento momias tomografías 3D monitor cardíaco infarto cerebral vida monogamia monos macacos Rhesus mortal mortales? motivación entrepreneurs support motivo neuronal decisiones dificultad movie moviendo brazos virtuales movimientos movimientos oculares medición nueva tecnología mucho sentada riesgo embolia muerta muerte cerebral comprensión muerte en el mundo causas muerte súbita gen nuevo muerte súbita pista genética muerte súbita y tabaquismo muerte tempran muertes súbitas jóvenes genético 33% muestra mueven mujer igualdad ciencia género mujer peor mujeres 1as. mujeres alérgicas mujeres buena vida sexual mejora mujeres hombres sueños diferencias mujeres menos mujeres myores 65 años viven más hombres peor mujeres sobrepeso cáncer ovarios mujeres tardan más en parir mujeres ánimo multan en mil millones de dólares a Jhonson Jhonson mundo cuántico convencional puente murciélagos extinción Monsanto murió Erk Izraelewics muscular mutaciones genéticas epilepsia infantil mutación mutación corazón infarto gen APOA5 edades tempranas mutación genética cáncer hígado mutantes mutilación femenina muy cerca muy gradual muñeca mácula más más alta más antiguo más estudio más livianos más mujeres más segura más seguros más sociable más sodio más vida médico paciente empatía bueno salud médicos mala salud suicidios médicos pacientes demasiadas pruebas médula espinal médula espinal lesiones compuesto mejora médula osea médula ósea método método científico método nuevo métodos diagnósticos móvies móviles fertilidad masculina perjuicio bolsillo pantalón móviles defensa del consumidor músculo cerebral músculos dióxido de vanadio fuerza mil veces mayor música música inteligencia inteligentes música placer sexo dinero nANOTECNOLOGÍA cALENTAMIENTO GLOBAL nanocélulas curar cáncer forma nanodispositivo terápias cáncer nanoescala nanoestrellas Plata indentificación moléculas nanoestructuras nanofibras oro nanolipogel nanomateriales ácido sulfúrico reemplazo cosmética famaceútica nanoparticulas nanopartículas de oro nanopartículas hidrogeles fármacos liberación nanopartículas oro tumor cerebral nanopuntos fluorescentes nanotecnología medicina cáncer materiales nanotubos carbono nanotubos de carbono nariz artificial natalidad natural natural? neandertales dieta heces nervios nervios lesionados nervios seccionados conexión fluído metálico neurociencia naturaleza humana comprensión neurociencia palabra significado luz cerebral neurocientífico neurocirujano coma regreso neuroestimulación impulsividad hiperactividad tratamiento síntomas neurológica dislexia visual neurona espejo neuronas memoria a corto plazo actividad cerebral pérdida degradación cerebro cognición neuronas cerebro implante neuronas sensoriales subtipo dolor generación neuroprótesis biocompatibles neuroprótesis brazo mente manejo neurorregeneración molécula proceso clave nicotina niega desaparecidos nietos niveles de azúcar niñas niñon niños ansiedad cerebro niños capacidades especiales delfines niños comida capricho ansiedad trastornos mentales niños mexicanos sedentarismo 90-100% niños smartphones dormir malo nniños 8 años síndrome metabólicos no adictivos no beneficia? no celíaca no dormir memoria descanso no existe no fumador no gafas no hay no hay evasión en el fútbol no mutilación no partes móviles no privada no protegen no reduce no reutilizables no siempren adelgazan normas sociales influencia comidas nosocomiales transplante fecal infecciones hospitales antibióticos cepas estafilococo bacterias hongos novedades mundiales tratamiento cáncer novedosos nuestra opinión nueva dirección nueva parte nueva regla nueva teoría nueva vía combate gusanos parásitos nuevas funciones nuevas normas nuevas reglas nuevas sustancias nuevas tecnologías nuevas técnicas nuevo mecanismo hipotalámico obesidad nuevo biocombustible más ecológico nuevo escenario nuevo factor nuevo gas nuevo mecanismo nuevo mundo Antártida nuevo producto nuevo reto nuevo tifón nuevo trastornos psicológicos alzheimer nuevos nuevos casos nuevos fármacos nuevos multimillonarios nuevos tratamientos nuevos vasos sanguíneos dos vías nutrición infantil colegio o acúfenos obesidad esperanza de vida estudio Enfermedades No Transmisibles obesidad madre hijo mitocondrias ADN fertilidad embarazo abortos espontáneos obesidad PI3KCNIO-PI3Ki inhibidores metabolismo cáncer obesidad abdominal obesidad adolescentes obesidad ataque bacterias obesidad aumento mundo obesidad cirugía no invasiva obesidad cáncer grave extensa obesidad cáncer vinculación 500mil año obesidad embarazo anomalías congénites obesidad estómago cirugia Método Apollo Almería obesidad hígado envejecimiento obesidad infantil Camisetas inteligentes obesidad interruptor obesidad interruptor biológico obesidad no saludable edad obesidad obeso metabólicamente sano riesgos obesidad pistas bebés obesidad recompensa cerebral alteraciones obesidad sobrepeso cáncer epidemia prevención objetivo vida mas larga objetos movimiento mente océanos acidificados odio odontología oir ojo biónico británico degeneración macular vista tecnología ojo biónico visión hombre ojo transplante avances ojos azules ojos biónicos mirada muestra ojos detección problemas pieza clave ojos expresión evolutivo origen ojos visión olfato apetito conexión cerebral olor química insectos olores percepción hombre un millón olvidada olvidar omeprazol oncología oncología genética telómeros ondas cerebrales ondas electromagnéticas simulador modelo ontología comorbilidades esclerosis múltiple opiáceas oportunidad optimistas corazón sano optofarmacología orangutanes orbital orexina miedo fobia ansiedad regulación organismo orgasmo Salud orienta riegro origen genético hipertensión orina análisis detección cáncer de páncreas oro controlará AFIP oso robot discapacitados osteoporosis cartílago regeneración osteoporosis hueso mujer fármaco osteoporosis nuevos fármacos potentes osteoratrirtis otras ovodonación FIV fecundación ESHRE ovulos fertilidad asistida oxitocina resaca cura hormona del amor oído oído prótesis iguana p53 pMedio Oriente Proceso de Paz Argentina ejemplo pabellón auricular cartílago costilla pacientes psiquiátricos padre 40 años hijos problemas psquiatría padres pagos palabras origen sonido palestina palinopsia palpitaciones pan panel solar pantalla táctiles papel papilas gustativas amargura corazón papiloma humano vacuna hombres papiloma humano virus EEUU 70% población papilomavirus paralisis del sueno trauma al dormir sensaciones de terror estado de rem paralíticos piernas movimiento estimulación no invasiva paranormal fantasmas sesgo cognitivo ilusión parche regeneración tejido cardíaco dañado pareja parejas cuantas la cuenta partenese habla bebés parto normal partos partículas física bosón de Higgs CERN congreso Higgs Englert parálisis camina relectrodos cerebro parásitos transmisión alimentos pastilla pastilla comida imaginaria ratones obesos adelgaza pastilla deseo sexual femenino pastillas pastillas muerte drogas patente patente no patentes biotecnológicas patología venosa países peatones pecas pelicula peliculas terror reorganiza cerebro peligo? peligros peligrosos pelo pelo claro películas pena de muerte EEUU pena de muerte criminalidad reducción fracasa 1976 2009 penalización del trabajo infantil pene humano largo promedio mundial penetración pensamiento pensamiento positivo pequeño percepción consciente perder cerebro siente todo perder peso perdido perejil perfil científico perineo perjudica permanente permite ver persecución personal personalidad personalidad inestable personas personas - anillo - pacientes - cirugía - reflujo personas bilingües personas inteligencia emocional inestabilidad personas jóvenes personas mayores pesadillas sueño lúcido ondas gamma cerebro Alemania descanso pescados mercurio factores riesgo enfermedades autoinmunes pestañas peste mundial pezón piden pie diabético pie protésico reconocimiento terreno piel artificial prótesis piel con peil piel de cristal piel envejecimiento piel humana pila calor solar recargable pila combustible pintura piojos OMS erradicación endemia pistas pizzas piña salud beneficios placa tectónica plan plan América Latina plan pago planetas plasma frío plasticidad neuronal pluma plástico autorreparación cuerpo humano generación plásticos pocas evidencias científicas en mensajes salud libros poema a la clase media poemas polillas polio polio vacunas combinación OPV IPV polio OMS emergencia sanitaria mundial polución atmosférica enfermedades polución atmosféricas enfermedades polución memoria cociente intelectual polémica política genocida por día porqué porqué duele el amor posibilidad postoperatorio música dolor operación precipio precisión precoz predecir prediabetes cáncer predicción prednisona preeclampsia mortalidad morbilidad madres recién nacidos preeclampsia tratamiento efectivo preemclancia preguntas prejuicio prematura adultez. prematuridad prematuridad embarazo muerte niños prematuro premio premios preocupaciones económicas presidente presonas mayores presupuesto prevalencia prevalencia menor prevención cáncer prevención? previene ataque cardíaco primera impresión milisengundos atractivo honradez primeros auxilios primogénito principal problema privacidad en peligro privación social privado no probabilidad menor problema Sueño problema defectuoso? problema? problemas comportamiento problemas biológicos problemas cardíacos problemas respiración problemas salud procuradoría prodigioso producción científica produce producto regeneración piel úlceras quemaduras productos de limpieza progesterona tratamiento retinosis pigmentaria programa programación progreso combatir cánceres agresivos prohiben prohiben exhibir cigarrillos prolongación prolongada promover pronósticos futuristas propiedades anticancerígenas propiedades en EEUU propioos cuerpos protección celular Rheb protección reservas viruela ciencia protección solar con coral proteoma proteómica humano proteína ACV ictus cerebral riesgos reducción proteína Cáncer de páncreas supervivencia proteína cáncer mama pulmón metástasis proteína inhibición SIDA VIH tipo proteína natural fibronectina cóagulos proteína p45 médula daño proteínas cáncer prototipo INTI detecta enfermedades infecciosas prueba prueba sangre alzheimer predicción pruebas prótesis prótesis 3D impresora cáncer ocular prótesis livianas más sensible calor prótesis robótica caminar natural prótesis sentido tacto prótesis uso biomédico nitruro tántalo psicología psicología educación acoso escolar psicología licenciatura sin autorización psicopatias anomalias cerebrales psicoterapias psicotrópicos psoriasis enzima pterigión nuevo tratamiento farmacológico publicaciones publicaciones científicas publicidad alimentos no saludables publicidada pulmonar pulmones desarrollo niños clave EPOC pulpo genoma ADN secuenciación pulsera control colesterol triglicéridos pyme páncreas artificial diabetes insulina mejor invento Reino Unido párkinson PINK1 proteína tumores muerte neuronal proliferación celular párkinson medicación costos altos mejora píldora píldora anticonceptiva píldoras quemaduras Membrana biodegradable quemar quesos bacterias quimioterapia complementaria quistes renales quita quitaran ahorros bancarios química rECESION ECONOMICA EUROPA rELEVOS POLICIA FEDERAL radar militar vigilar sueño radiación de polonio radiación electrónica leucemia investigación relación radiación nuclear fármaco efectos radiación tiroides Fukushima radiactividad leche bebés radiactivo radiactivos radicales libres obesidad manifiesta? radiofrecuencia radiomarcadores cáncer detección raducción rapidez rasornos alimentación rastaurar rastrea rastros rata ratones 'avatar' cáncer tratamientos humanos ratones hambre interruptor ratones transparentes laboratorio ratón rayo luz dolor desaparece rayos del sol raíces gnéticas reaccion cerebro separación materna reacciones real realidad realidad virtual Miembro fantasma neurociencia amputación dolor rebelión recaída receptor alzhéimer párkinson memoria fitogenética reciclaje reclamo extenadido recomendaciones recompensa cerebral reconocida reconstrucción vagina tejido intestino reconstruir recordar recuerdo neurogénesis neurona recuerdos falsos recuperación red neuronal redefinir redes redes complejas redes complejas cerebro neurona reduce reduce el hambre reduce riesgo reefutado reemplaza reemplazar reflexiones reflexología refuerzo regeneración neuronal proteína regeneración tejido cartilaginosos regenerar regenerativa hueso medicina piel registro reglas reglas políticas regula horario. muerte regulación regulador regular rehabilitador robótico rejuvenece rejuvenecimiento vida largar relaciòn con el otro relaja? reloj biológico esclerosis múltiple reloj biológico reloj ciurcadianos Actividad del ARN reloj celular cromosomas estabilidad remedios remedios- falsificados-por.internet remisión reorganización cerebral etapa infantil sencilla repara repararse reprime reproducción asistida reproducir células modificaciones cromosómicas cáncer reprogramación química médula espinal lesión repudio requiem dream reserva agua resfríos residuos electrónicos quema cáncer resiliencia dolor hombres mujeres resistencia antibióticos resistencia bacteriana resistencia cardiovascular resistencia estrés resoluciòn resolución respiración respirar vivir enfisema transplante pulmón responsable respuesta respuesta inmune respuesta inmunitaria respuesta medicamentos respuesta positiva restauración restaurar visión restringir resucitan resultado retina retinopatía diabética escaneo automatizado retiro espiritual no confesional mejora corazón retraso retroceso reumáticas revelan revierte revocación patente esperma selección revolución verde reír llorara igual culturas rica en grasas riesgo ACV medir pierna equilibrio riesgo cardiovascular riesgo cardiovascular predicción alzheimer riesgo cardiovascular test saliva riesgo cerebral riesgo corazón riesgo de muerte riesgo elefante africano riesgo genético riesgo menor riesgo mortal riesgoso rifle rinón risa universal ritmo cardíaco cirugía riesgo cardiovascular ritmo circadiano robot bípedo humanoide REEM-C robot europeo robots aguja robots humanoides creación rodilla roedores tamaño oveja ronquido rostro rostro cara expresiones sexo indicador rostro inteligencia medición rostros memoria sexualidad atracción rotavirus ruido ruido alteraciones cardíacas ruta molecular sable de luz sabor sal cocaína daños salario mínimo salas bronceado salida al mar salir saliva salk salud adolescentes brecha jóvenes riqueza pobreza The Lancet sedentarismo psicología salud Gran Bretaña profesionales sobrepeso salud bucal no salud cardiovascular arándanos beneficios salud cardiovascular mujer cerveza protegería salud cerebro salud comportamientos errores salud dental nueve consejos prácticos salud enfermedad matrimonio salud humana salud mental financiación enfermedad salud mental salud dental salud mental visibilización salud mundo global salud ocular antioxidantes salud sexual salva sana heridas sangre 'joven' envejecimiento cerebro sangre análisis sangre análisis gota infección viral vacteriana determinación sangre iones pesados extracción sarampión variante virus Canadá sarcoma terapia IDIBELL sardinas sarpullido sartenes antiadherentes colesterol niños aumento nivel satisfactorio scáner sangre coágulos se borra secamanos secuelas secuencia completa seglares a Iglesia Católica seguimiento ocular seguridad informática semen calidad insecticidas baja causa semillas semitransparentes sencilla sensibilidad sensibilidad auditiva personalidad sensible sensor óptico dispositivo leucocitos algoritmos imagen quimoterapia cáncer sensores de glucosa sentado letal sentimientos experiencias mentales estados corporales sepsis receptor celular relación sequía ser mortal presente será "único· sexismo racismo derivan mismo proceso mental sexo hijo salud madre sexo infartos improbable sexología sexooral sexting EEUU 20% adolescentes practican sexting EEUU adolescentes hispanos señales lediones sida VIH tejidos linfoides sida VIH transmisión genética virus siesta salud mejora sigue matando sildenafil silencio silla de ruedas plástico reciclado 80% similares sin alimentarse sin cirugía sin cirujía sin células sin ejercicio sin exisytencia hecho sin hospitalización sin protección sin pruebas sin refrigeración sin retorno sinapsis sindrome de Down fácil detección sindrome instentino irritable tras gastorneteritis o diarrea infecciosa sindrome metabolico sindrome metabólico sinestesia sinestesia acromática grafema-color sistema Inmunológico Cáncer sistema cardiovascular corazón comunidad latina sistema de captura térmica sistema informático reconoce estado de ánimo sistema inmunológico cerebro muerte sistema nervioso calorías energía movimiento fisiología caminar sistema nervioso células embrión imagen microscopio sistema nerviosos componente antigüedad sistema vascular sistemas industriales smartphones cambio cerebro pulgares smartphones dispositivo médico smartphones fondo de ojo smartphones sensor químico sustancias tóxicas alimentos smatrphone amor sobre pantalla sobrecarga digital cerebro recursos sobrepeso obesidad cáncer riesgo sobrepeso paternidad sobrevida sociedad software silla de ruedas soldados mutantes somnolencia diurna largas siestas diabetes riesgo somos felices sonido sony sonámbulismo sordera ratones recuperan audición EEUU sordera súbita spice catatonia drogas consumo párkinson su cerebro sudeste asiático sueño calidad tiempo pantalla sueño dormir genes sueño dormir genes determinan sueño dormir sueños sueño interrumpido sueño madrugar temprano sueño necesario edad sueño padecimiento metabólicos cardiovasculares sueño problemas enfermedades corazón sueño seguro padres bebés sueños sueños lúcidos inducción Alemania suicidio suicidio celular suicidio depresión suicidio prevención marcadores tratamiento suicidio señales advertencias supera superbacterias científicas batallan supercomputadora superestrellas superfluos supermemoria superordenador superordenadores suplementos suplementos musculación cáncer testicular suplementos vitamínicos suplementos yodo embarazadas supone pandemia supresor surcoreanos sustancia blanca 'andamio' cerebral sustancia radiactiva sustancias psicoactivas sustancias químicas sustituir sustituir ensayos con animales sífilis síndrome Tourette síndrome de Asperger datos síndrome de Down enfermedades autoinmunes razones tABAQUISMO FACILITA ACNÉ tabaco alcohol adicción patrón genético tabaco contaminación embarazo asma infantil tabaco daño en 5 minutos tabaco fumar bacterias tabaco muerte sube 300% tabaquismo cáncer pulmones tabaquismo fumador desalojo Alemania tabaquismo hombres cáncer riesgo tabaquismo límite 35 años tabaquismo muerte 6 segundos tabaquismo pasivo menos audición tabaquismo prevención igualdad de género tabaquismo psicología adicción tablet flexible tacto agudizar ondas gamma cerebro tacto dolor relación estudio tadalafil talentos talidomida tareas motoras tarjetas de crédito taxi monorrail magnético te te verde te verde compuesto células cáncer oral mata te verde discapacidad reduce teatro feizbuk teclas clic tecnología 3D diagnóstico enfermedades pulmonares tecnología Ciencia lo más visto robótica salud tecnología diagnóstico enfermedades mentales tecnología sueño luz azul perturba tejido tejido biologico tejido corazón tejido muscular humano laboratorio contracción tejidos cicatrización regeneración órganos heridas luz azul telepatía India Francia mensaje telescopio BICEP2 Polo Sur telescopio solar España armazón telescópica teletransportación telómeros cáncer temblor exoesqueleto neuroprótesis lesión medular párkinson robótica ingeniería neurologíaprótesis temperatura temperatura hemisferios evolución diferencias teoría de hubbert teoría evolución tequila agave azul obesidad sobrepeso México terapia antiobióticos terapia calor terapia combinada terapia intensiva terapia nutricional terapia psicológica terapia ultrasonidos terapias celulares insulina diabetes donante terapias regenerativas crean terremoto territorio silenciado Manuela terror test barato feto enfermedades test genético depresión test genético predicción metástasis test genéticos compañías enfrentamiento test inteligencia test Ébola detección textil texturas tiempo corto tiempo libre tienen tinnitus tintas sensores piel marcar tipificación tumores tipo 2 tipos tirita detección temblores aplicación fármacos omnipresente toalla femenina enfermedades ginecológicas detección toallitas húmedas tobillo tobillo biorrobótico tocar a los pacientes toma corriente solar tomografía electrónica torpeza tortillas tos tos alivio total toxicidad grave toxinas toxinas animales fármacos toxinas bacterianas trabajadores trabajadores productos tóxicos trabajar horas extras afección Salud trabajo amistad trabajo nocturno consecuencias transcatéter tecnología cirugía corazón transformación transición transistores transmisión sexual transmisoras transparenta transparente transplantados ejercicios alta intensidad transplante corazón sin latido transplantes transplantes corazón sin latir transporte público transporte urbano trasplante trasplante alopecía trasplante células iPS medicina regenerativa degeneración macular trasplante cráneo trasplante de cabeza trasplante fármacos hidrogel tejido injertado trastorno adictivo trastorno bipolar hombres mujeres trastorno bipolar riesgo genético nuevas variantes trastorno de pánico trastorno hepático reversión mutación gen trastornos alimentarios riesgo anorexia bulimia TANE adolescentes SAOTA trastornos alimenticios varones crece trastornos psicológicos trastornos psicóticos trata de personas campo trata personas China Argentina tratamiento annticáncer tratamiento géneico tratamiento nuevo tratamiento oral tratamiento videojuegos mayores tratamientos cáncer personalizado genética datos tratamientos personalizados tratamientos testosterona riesgo cardiovascular trav{es treansistor protones comunica hombre máquina trenes alta velocidad triplico secuestro bebidas alcoholicas trisomías trombocitopenia megacariocitos endociclos plaquetas coagulación sangre reprogramación celular trombosis embarazo prevención herramienta tráfico tránsito tsunami tuberculosis ONU logros tuberculosis crisis poíticas Médicos Sin Fronteras tuberculosis infantil tuberculosis lepra vacuna tuberculosis nueva droga riesgos estudio tubérculo colombiano glucosa en sangre disminución tucumã potencial farmacológico antiinflamatorio antitumoral tumor tumor 12 tumor cerebral retraso crecimiento tumor contención genes responsables tumor moléculas proteína SLC4A2 tumor vertebral tumorcerebral tumores cerebrales hombres tumores crecimiento noche tumores vulnerables tánsito enfermedades cardiovasculares riesgo aumento té mortalidad reducción técnica célula cancerosas detectar técnica innovadora túneles ulceras ultrasonido un gen un millón una incisión uno mismo uo upc universidad tecnología rayos X investigación luz ciencia partículas sincrotrón física láser usos médicos utilidad vIRUA DE PC vITAMINA c RELEVANTE ENFERMEDA RETINA vacuna antineumocócica prevenir neumonía comunitaria vacuna contra heroína vacuna contra infección latente tuberculosa vacuna cáncer próstata Cuba 3ª fase vacuna leucemia infantil vacuna terapéutica vacuna tumores sistema nervioso vacunar vacunas defectuosas virus generaciones fuertes vacío vaginas reconstrucción laboratorio vapor variaciones vasos sanguíneos bioimpresión 3D vecinalismo apoya a Descalzo vehículo vi-bial vehículos andantes microscópicos células objetivos vejiga llena mentira convincente vejiga síndrome paruresis trastorno ansiedad venas diplóicas termorregulación Homo sapiens neandertales vascular sistema cráneo venomics medicinas veneno fármacos ventaja niños y niñas diferentes edades jueguen juntos ventas implantes suspendido Brasil impurezas ventilador ver fumar incita jovenes verdura verduras omega3 piel envejecimiemnto retrasan almidón verrugas envejecimiento piel 40 años viable para esclerosis m viagra femenino Adddyi aprobado EEUU viajes vibraciones heridas difíciles curación vid del trueno divino obesidad cirugía bariátrica efectividad vida normal vida sexual animal vida sintética creación su uso? videojuegos controlar nivel estrés ayuda videojuegos jerarquías humanidad vigilia sueño vinculación violación violencia violencia contra mujeres violencia familiar violencia femenina violencia infantil cambio cerebro viroterapia cáncer médula curación virulencia virus 50% humanidad portadora desconocido virus H1N1 virus Nipah infecciones anticuerpo primates virus VIH modificado virus VIH vacunas análisis sangre virus amenaza población mundial virus de Marburgo tratamiento virus modificar armas antibacterias infecciones combate virus nunca detectado hallan virus zika ZIKAV ZIKV viruspapilomahumano visitas visión bebé cerebro visión estimulador eléctrico retinosis visión humana visión humana crean aplicaciones médicas visión natural? visión nocturna humanos vista táctil vitamina C evita riesgo cardiovascular vitamina C insuficiencia cardíaca prrevención vitamina D carencia declive mental vitamina D hipertensión vive vive más viviendas vacías vivir vivir mas vivir pareja salud cardíaca vivo vocabulario voz vuelo vuelven vulnerabilidad vulnerable válvula vía vías digestivas wearable computing y más ya zona ´las pie Musculo cardíaco ·ED Ébola EEUU Texas Ébola Epidemia OMS rápido Ébola España epidemia miedo Ébola Guinea Epidemia África occidental Enfermedades infecciosas África Enfermedades Medicina Salud Ébola OMS emergencia Útero transplante parto bebé ácaros alergia alérgeno polen epidemiología NIH ácido fólico ácido oleico ácidos graso prevención Alzheimer ángel ánimos árboles ébola brote OMS Guinea Conarky Senegal Liberia Sierra Leona ébola afecta Malaria lucha ébola control 6 meses ébola desinfectante superficies ébola epidemia expansión OMS ébola fin mayo ébola lucha cuerpo síntomas proceso ébola vacuna pruebas ébola vacunas 215 élite éxtasis órdenes órganos artificiales órganos humanos cerdos crecimiento óvulos única lente